灵芝孢子粉的成分虽不像子实体那麽完整,但粉末状的特性容易服用,成了它在大陆广受欢迎的原因之一。根据TLC图谱分析显示,孢子粉不含或只有很少的三萜类,但含有较高的真菌固醇(甾醇),这些成分才是孢子粉除了多醣之外的功效来源。
文/苏庆华(台北医学大学微生物暨免疫学科讲座教授)
◎本文原载於2015年《健康灵芝》68期 p.2~4

本文作者台北医学大学的苏庆华教授,是「第一届中国灵芝大会」的演讲嘉宾。
(摄影/吴亭瑶)
2015年8月9日,跟着苏迪勒台风的尾巴,来到「第一届中国灵芝大会」的主办地浙江龙泉。龙泉位於欧江上游,是丽水市辖下的一个县级城市,全市面积大约三千平方公里,人口不到三十万,山明水秀,没有工业污染,「生态指标」超优,除了以宝剑、青瓷、香菇闻名,近年来也以灵芝的培养享誉於中国大陆,灵芝子实体年产量120~150万吨。听到这个数字,马上不难了解为什麽「第一届中国灵芝大会」在此举办的原因了。
这次大会邀请了两岸许多专家、学者和产业界人士参与,笔者也是受邀做专题演讲的主讲者之一,而我讲的不是什麽新鲜事,正是已经开发十几年的灵芝子实体创伤敷料SACCHACHITIN,希望能让与会者了解,灵芝除了做保健食品之外,也有作为生物医学材料的潜力。
两岸遍栽培的「赤芝」学名该怎麽定,仍有待讨论
本次大会的重头戏之一,就是对灵芝学名的争议。大家对目前两岸普遍栽培的「赤芝」并不是原来欧洲所认定的Ganoderma lucidum都有共识。北京林业大学微生物所所长戴玉成教授,以及国立自然科学博物馆研究员吴声华博士,均主张以成立新种G. lingzhi来处理,但北京中国科学院微生物研究所研究员姚一健博士则认为,此菌种极有可能是1983年发表的四川灵芝(G. sichuanense)。
由於四川灵芝的模式标本以目前的技术无法取得有效的DNA片段并加以定序,为保存标本的完整性,也只能暂停现行以破坏标本取得DNA的方式,等到有一天,有更先进的DNA萃取方法发展出来,再继续进行。
双方无论在样品数量、采集范围的代表性、论述的完整性,都令人折服,也都无涉个人好恶,这是在大陆上既少见又精彩的科学性辩论。因此,赤芝学名的论证,可能还要再一段时间之後才能达到共识。
为什麽孢子粉在大陆那麽受欢迎?
参与这样的研讨会令人收获不少,但此行的目的还想解开一个疑惑──孢子粉。首先我想提出两个问题:究竟灵芝孢子粉的保健功能到底为何?为何大陆消费者对孢子粉的接受度远高於子实体?
由於台湾的栽培者并不生产灵芝孢子粉,研究者对孢子粉也就相对比较陌生。我们的实验室偶有机会也会分析一下孢子粉的三萜类含量,会发现和子实体相比,孢子粉几乎没有三萜成分,因此态度上就会把它摆在一边,不想积极研究。
然而大陆经济改革开放之後,孢子粉成为市场上的显学,并且成为栽培者的生产标的。根据最近的数据显示,这样的生产方式可以生产相当於子实体1.5倍重的孢子粉,实在令人难以想像(图1),这也激发我们的好奇心,想要一窥究竟。

图1 龙泉栽培基地生产灵芝孢子粉的过程
(1) 将大型太空包埋於栽培舍土壤中。
(2) 长出子实体後,套上桶状塑胶环状容器并加盖,同时下面铺上塑胶布。
(3) 待孢子释放後打开容器。(4) 收集孢子。
(提供/苏庆华)
受邀在本次大会做专题演讲的张树庭教授也指出,灵芝有不同的生长阶段,如菌丝体、子实体和担孢子。传统上一般所指的灵芝应该是子实体,担孢子是有性世代的起点,经常是单倍体,发芽成为单核菌丝,经过与不同性别的单核交配形成双核菌丝产生子实体後,再释出孢子。
这些孢子是否携带与子实体相同的成分,还是有不一样的特殊成分?孢子粉受到大陆消费者欢迎的原因,除了可能来自销售业者的炒作之外,我认为应该还有它的功效成分在支撑,否则这种炒作是不会持久的,因此趁着参加此会议,我就到龙泉生产地实地采集样本回来分析。
TLC图谱分析显示,孢子粉几无三萜,但有固醇(甾醇)
分析灵芝的方法有很多,通常我会先用薄层色层分析法(thin-layer chromatography, TLC),一方面可以快速简单地进行定性,另一方面TLC可以提供目视的主要成分的指纹,作为样品生产方法、原料区别之参考。当然,若要进一步做成分定量,则需要其他方法配合。本文就先以TLC图谱来说明孢子粉成分上的意义。
再进入分析之前,我们先将样品放在显微镜下检查一下,确认样品中并无掺杂其他添加物(图2)。图2右侧所显示的灵芝孢子粉呈现完整双层细胞壁的灵芝担孢子,没有其他杂质;图2左侧则为破壁孢子粉,很明显看到绝大部分的孢子都已破裂,表示真的是破壁孢子粉。

图2 显微镜下的灵芝孢子粉形态
右图是未破壁的灵芝孢子,有完整的双层细胞壁;
左图是破壁的孢子粉,大部分的孢子都已破裂。(提供/苏庆华)
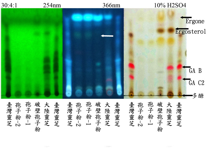
我们选了几个样品,包括两岸栽培的的灵芝子实体、大陆的孢子粉、破壁孢子粉,以及一些标准品。这些样品先取定量(2.0 g),以甲醇萃取、浓缩後,用毛细管取2 ml点在TLC片上,再以展开液(甲醇:氯仿:水 比率为30:4:1)展开。分别以波长254 nm及366 nm之紫外光及10%硫酸加热呈色,同一片TLC即可以得到三个图谱(图3)。
TLC上的二氧化矽是极性较高的物质,对极性高的灵芝成分会有较高的亲和力,因此极性高的物质会移动较慢而留在下方;相对的,极性低的物质会被推到片子的上方而形成一条指纹。再利用不同物质对不同波长的吸收性,以及在强酸下呈现不同颜色,就可大致看出灵芝成分的比重。
图3呈现的是灵芝成分与一些标准品之间的关系,从最下方开始读起,就是极性最高的成分,包括腺苷和多醣。但如以甲醇萃取,一般不会萃取到这些物质,仅示意这些物质可能出现的位置。
再往上一点就是三萜出现的位置,其中包括两个易於辨识的红点,分别是灵芝酸B(GA B)及C2 (GA C2)。再往上方的固醇区(甾醇区),我们用两个标准品来标示,一个是麦角固醇(麦角甾醇),另外一个是简称为ergone的多元不饱和固醇(多元不饱和甾醇),化学名很长叫(22E)-Ergosta-4,6,8(14),22-tetraen-3-one,是灵芝常见的固醇。Ergone在硫酸呈色区不太明显(浅绿色),但在366 nm波长紫外光下会发亮。这个图也说明灵芝子实体成分的分布相当丰富,从极性最高到最低都完整具备。
接着,我们拿大陆的样品进行比对,包括三种孢子粉和一种灵芝子实体。结果显示(图4),大陆栽培的灵芝子实体成分和台湾栽培的灵芝子实体是几乎一样的,都含有灵芝酸B、灵芝酸C2和固醇,符合分类学家认为均属同一种灵芝的说法。至於两种未破壁孢子粉也有相同的模式,在三萜类这一区块几乎没有呈色点,也符合我们过去的分析──三萜类很少或几乎没有──但是在固醇这一区则明显呈现ergone及麦角固醇。

图3 灵芝子实体与标准成分之TLC分析图
此图呈现的是灵芝子实体甲醇萃取物的成分与标准品之间的关系,
最下方是极性最高的成分,包括腺苷和多醣;
再往上一点就是三萜出现的位置,包括灵芝酸B和C(GA B和GA C),
再往上则是固醇区(甾醇区),包括麦角固醇和ergone。
显然灵芝子实体成分的分布相当丰富,从极性最高到最低都完整具备。
(提供/苏庆华)

图4 灵芝子实体与孢子粉之TLC分析图
从此图谱可知,大陆和台湾栽培的灵芝子实体的成分非常近似;
两种未破壁孢子粉在三萜这一区块几乎没有呈色点,表示三萜含量很少或几乎没有,
但在固醇这一区则明显呈现ergone及麦角固醇;
破壁孢子粉在固醇区的反应则更明显,显示破壁有助活性成分的释出。
(提供/苏庆华)
子实体成分完整,孢子粉容易服用
以上的分析或许可以说明前面提到的两个问题:第一,孢子粉不含或只有很少的三萜类,这样的成分组成特性可能会牺牲掉一些保肝、抗过敏、降血脂、心血管保护等功能。不过,孢子粉含有较高的真菌固醇(麦角固醇、ergone),这些成分有其他功效吗?
其实,张树庭教授在此次演讲里也提到,麦角固醇对癌症抑制的作用已逐渐受到肯定。笔者的实验室最近也证实,真菌固醇会改变癌细胞的形状并减缓分裂速度,因此灵芝孢子粉做为癌症治疗的辅助食品应该是有潜力的。此外,还有研究显示ergone对肾脏功能的改善有明显帮助,这也说明灵芝孢子粉有其保健价值。
虽然灵芝孢子粉的成分并不像子实体那麽完整,但大陆市场接受灵芝孢子粉的程度高於灵芝子实体的另外一个原因,可能是它易於服用。粉末状的孢子粉可用开水喝下去,相对於子实体的坚韧性质,磨粉是不太容易的。
子实体切片很难直接口服;如果热水浸泡,可能会溶出多醣和一部分三萜,但根据我们的经验,真菌固醇是无法以此方法得到的。除非灵芝子实体经过完整提取各部分的成分,否则孢子粉在剂型上会占有一定的优势,何况灵芝孢子粉的产率很高,更会使成本下降而成为灵芝商品的主流。
★敬请尊重着作权,欢迎以连结网址的方式友善分享,请注明作者、出处与图片来源,并保留文章「从标题到参考文献」的完整性,请勿将图文移花接木、占为己有,或与商品、商业行为连结。