2017年1月20日/广东微生物研究所、广东省疾病预防控制中心/Journal of Ethnopharmacology
文/吴亭瑶

灵芝多醣有助糖尿病的治疗,早已是公认的事实,但关於它到底是如何发挥作用的,则是科学家想进一步了解的课题。
早在2012年,广东微生物研究所、广东省疾病预防控制中心就曾共同发表报告指出,从灵芝子实体热水萃取物中提而得的高分子多醣GLPs,对於第二型糖尿病有很好的降血糖作用。
而今,他们进一步从GLPs分离出4个多醣,取其中活性较高的F31(分子量约为15.9 kDa,含有15.1%蛋白)进行更深入的探讨,结果发现它不但能透过多条路径调节血糖,还能发挥保肝作用。
灵芝多醣可调降高血糖
在为期6周的动物实验发现,每天喂食50 mg/kg灵芝多醣F31的第二型糖尿病小鼠(灵芝组-高),其空腹血糖值始终低於未做治疗的糖尿病鼠(控制组),而且有显着性差异。
相较之下,同样每天吃灵芝多醣F31,但剂量只有25 mg/kg的糖尿病鼠(灵芝组-低),血糖值下降的幅度却没那麽明显。这说明此灵芝多醣有调节血糖的作用,但效果会受到剂量影响(图1)。

图1 灵芝对尿病鼠空腹血糖值的影响
〔说明〕「西药组」使用的降血糖药是metfomin(伏糖锭),每天口服50 mg/kg。
图中的血糖单位为mmol/L,将其数值除以0.0555即为大家所熟悉的mg/dL。
正常的空腹血糖值应在5.6 mmol/L(约100 mg/dL)以下,
超过7 mmol/L(126 mg/dL)即为糖尿病。
(制图/吴亭瑶,资料来源/J Ethnopharmacol. 2017; 196:47-57.)
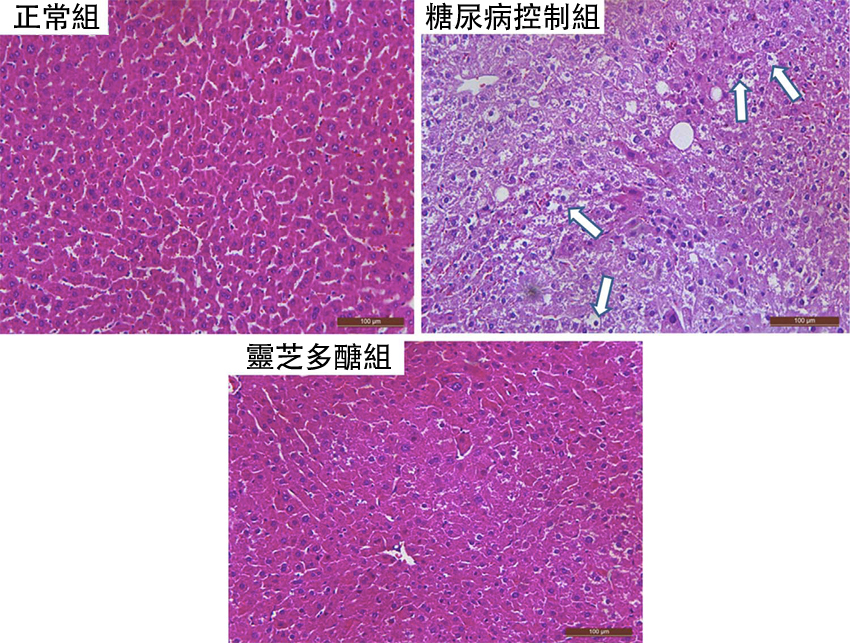
灵芝多醣减轻糖尿病造成的肝损伤
仔细看图1可以发现,灵芝多醣F31虽能调节血糖,但效果略逊西药一筹,也无法使血糖恢复正常。尽管如此,灵芝多醣的保肝作用却已开始发挥。
从图2可以看到,在实验期间有灵芝多醣F31(50 mg/kg)保护的糖尿病鼠,其肝脏组织的结构、形态与正常小鼠较接近,也较少发炎;相较之下,未接受任何治疗的糖尿病鼠,肝组织明显受损,发炎和坏死的状况也比较严重。

图2 灵芝多醣对糖尿病鼠的保肝作用
〔说明〕白色箭头所指之处为发炎或坏死的病灶。
(资料来源/J Ethnopharmacol. 2017; 196:47-57.)
第二型糖尿病发生的机转
过去已有许多研究是从「保护胰岛细胞、提升胰岛素分泌」的角度,说明灵芝多醣调节血糖的机制;这篇研究则告诉我们,灵芝多醣还能从其他路径,让高血糖获得改善。
在进一步说明之前,我们得先知道,形成第二型糖尿病的几个重要关键。
一个代谢功能正常的人在进食後,胰岛细胞会分泌胰岛素,刺激肌肉细胞、脂肪细胞在细胞表面产生「葡萄糖转运蛋白(简称GLUT4)」,把血液中的葡萄糖「转运」到细胞里。
由於葡萄糖是大分子,无法直接穿越细胞膜,如果没有GLUT4的协助,葡萄糖就进不去。第二型糖尿病的症结就出在细胞对胰岛素不敏感(有胰岛素抗性),即使胰岛素频送秋波,依然无法让细胞表面出现足够的GLUT4。
这种情况更容易出现在肥胖的人身上,因为脂肪会合成一种名为「抵抗素(resistin)」的多肽类激素,使脂肪细胞出现胰岛素抗性。
由於葡萄糖是细胞的能量来源,当细胞一直缺乏葡萄糖,除了会让人更想吃之外,也会促使肝脏生成更多的葡萄糖。
肝脏生成葡萄糖的方式有两种:分解肝醣,亦即把原本储存在肝脏的葡萄糖再拿出来用,或是进行糖质新生,也就是利用蛋白质、脂肪等「非」碳水化合物的原料转化成葡萄糖。
第二型糖尿病的患者,这两种作用都比一般人旺盛。在组织细胞对葡萄糖的利用率下降,而葡萄糖的生成量却不断上升的情况下,血糖自然很难降下来。
灵芝多醣降低肝脏对葡萄糖的生成量,
提高细胞对葡萄糖的利用率
上述问题灵芝多醣F31似乎都能解套。研究者在动物实验结束後,将小鼠的肝脏和副睾周围脂肪(作为体内脂肪的指标)取出,进行分析和比较,结果发现这个活性多醣有以下作用机制(如图3):
1. 活化肝脏里AMPK蛋白激酶,调降肝脏里数个参与肝醣分解或糖质新生的酵素的基因表达,减少葡萄糖产量,从源头管控血糖。
2. 增加脂肪细胞上GLUT4的数量、抑制脂肪细胞分泌抵抗素(使这两项变数很接近正常小鼠的状况),进而改善脂肪细胞对胰岛素的敏感度,提高葡萄糖的利用率。
3. 大幅调降脂肪组织中参与脂肪合成的关键酵素的基因表达,进而降低脂肪在全身体重的占比,减少胰岛素抗性的相关因素。
由此可知,灵芝多醣可以透过至少三条路径调节血糖,而且这些路径都和「刺激胰岛素分泌」无关,为糖尿病的改善提供更多的可能性。

图3 灵芝多醣调节血糖的机制
〔说明〕副睾是紧贴在睾丸上方、像线圈状的细微精管,连结输精管与睾丸。
由於副睾周边的脂肪和全身的总脂肪(尤其是内脏脂肪)呈正相关,
因此常成为实验的观察指标。
至於灵芝多醣活化AMPK之後,如何调降GP等酵素,
还需进一步厘清,所以在图中以「?」表示两者的关系。
(图片重制/吴亭瑶,资料来源/J Ethnopharmacol. 2017; 196:47-57.)
灵芝多醣未必愈「纯」愈好
上述研究成果,让我们对「灵芝多醣如何有益第二型糖尿病」有更多的认识,同时也提醒我们,不论使用西药或灵芝多醣的初期阶段,血糖可能不会一下子就恢复正常,甚至会像图1一样上下波动一段时间。
此时请不要失望,因为只要你有吃灵芝,体内脏器已经获得保护。
值得一提的是,诚如文章最前面所提,灵芝多醣F31是从GLPs「解构」出来的小分子多醣。把它们在同样实验条件下的降血糖效果拿来比较,会发现GLPs的效果明显好过F31(图4)。
换句话说,灵芝多醣未必「愈纯」愈好,「整体」的效用反而更大。由於GLPs是透过热水萃取从灵芝子实体获得的一个粗多醣,因此只要你吃的是含有灵芝子实体水萃取物的产品,应该都不会错过它才对。

图4 不同灵芝多醣对空腹血糖值的影响
〔说明〕第二型糖尿病小鼠(空腹血糖值12~13 mmol/L)
每天接受腹腔注射灵芝多醣F31(50 mg/kg)、
灵芝粗多醣GLPs 50 mg/kg或100 mg/kg,
7天後将其血糖值与正常小鼠、未经治疗的糖尿病小鼠进行比较。
(制图/吴亭瑶,资料来源/Arch Pharm Res. 2012; 35(10):1793-801.
J Ethnopharmacol. 2017; 196:47-57.)
资料来源
1. Xiao C, et al. Antidiabetic activity of Ganoderma lucidum polysaccharides F31 down-regulated hepatic glucose regulatory enzymes in diabetic mice. J Ethnopharmacol. 2017 Jan 20;196:47-57.
2. Xiao C, et al. Hypoglycemic effects of Ganoderma lucidum polysaccharides in type 2 diabetic mice. Arch Pharm Res. 2012 Oct;35(10):1793-801.
★敬请尊重着作权,欢迎以连结网址的方式友善分享,请注明作者、出处与图片来源,并保留文章「从标题到参考文献」的完整性,请勿将图文移花接木、占为己有,或与商品、商业行为连结。