2018年4月11日/成功大学/Oxidative Medicine and Cellular Longevity
文/吴亭瑶

过去对於灵芝如何保护动脉的研究已做了很多,却从来没有科学家从「血液乱流(紊乱的血流)冲击血管壁,诱发氧化伤害和发炎反应、造成内皮细胞功能失调、导致动脉内膜增生」的角度,探讨灵芝对动脉粥状硬化形成的防治作用。
这样的致病机制对一般人来说或许陌生──多数的我们只知道动脉粥状硬化和过多的低密度脂蛋白胆固醇(LDL-D)有关──却是多数人即使严格控制饮食还是发生动脉粥状硬化,甚至是多数患者装了血管支架、做了气球扩张术,动脉狭窄还是不断恶化、复发的主因。
今年(2018)4月11日正式发表在SCI期刊《Oxidative Medicine and Cellular Longevity》的一篇论文即证明,即使在紊乱血流持续冲击血管壁的不良条件下,灵芝依然可以透过降低氧化压力、抑制发炎反应两大机制,对动脉粥状硬化发挥预防或治疗的作用,其主要的功效成分为灵芝三萜类。
此研究成果来自国立成功大学细胞生物与解剖学研究所莫凡毅副教授的团队,其与团队成员许佩玲、林咏卿和倪颢的努力,为灵芝保护心血管的功效再添一笔有力的科学证据。

成功大学细胞生物与解剖学研究所莫凡毅副教授与其实验室学生的合照。
(摄影/杨文卿,摄於2014年)
动脉粥状硬化的形成
动脉之所以会走向粥状硬化一途,进而演变成心肌缺血、心肌梗塞、脑中风、心脏衰竭等重大心血管疾病的地雷,主要和动脉内膜(与血流接触的血管壁)不断受到氧化、发炎损伤而逐渐增生、变厚有关。
换句话说,只要能从源头阻止动脉内膜增生,就能防止动脉粥状硬化发生,健康和生命受到心血管疾病的威胁也能因此降低。

(原始图片来源/维基百科:动脉粥样硬化)
模拟人类形成动脉粥状硬化的动物模型
为了评估灵芝对动脉粥状硬化的防治作用,莫凡毅的团队先在小鼠总颈动脉分支处进行结紮,使该处的血流因为受到阻碍而形成乱流(图1)。紊乱的血流会冲击、损伤这个区段的动脉内膜(和血流直接接触的血管壁),造成内膜增生、变厚。

图1 动脉结紮後对血流的影响
〔说明〕图上所示的左、右总颈动脉的「左」、「右」是以小鼠为依据。
(资料来源/Oxid Med Cell Longev. 2018;2018:3491703.)
事实上发生在人类身上的动脉粥状硬化,其病灶部位也是发生在容易造成血液乱流的血管分支处;那些装了血管支架或接受过气球扩张术的动脉粥状硬化患者,一段时间後动脉狭窄的问题又再出现,其复发的原理也是一样──
异物(支架或气球)使血液形成乱流,乱流损伤动脉内膜,使动脉内膜陷入不断修复、又不断受伤的恶性循环,内膜於是不断增厚,能容纳血液通过的空间也愈来愈狭窄,也愈容易因为受损出血而形成血栓,阻塞血管。
口服灵芝子实体总萃取物
抑制动脉内膜增生,防止动脉硬化发生
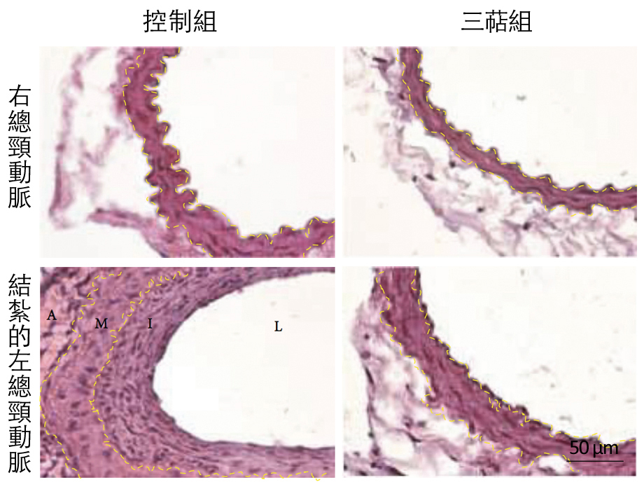
然而在同样糟糕的条件下,有吃灵芝和没吃灵芝的结果却大相迳庭。因为实验显示,没吃灵芝的控制组小鼠,其经过结紮的左总颈动脉动脉内膜,两周後明显比未做结紮(正常)的右总颈动脉变厚许多;而从动脉结紮後每天都灌食300 mg/kg灵芝子实体总萃取物的小鼠,两边总颈动脉的内膜组织则无显着差异(图2~3)。
这表示即使在紊乱血流持续冲击血管壁的不良条件下,灵芝依然可以阻挡内膜增生,从源头避免动脉粥状硬化的发生或恶化。

图2 从组织切片评估灵芝总萃取物
抑制动脉内膜增生的预防作用
〔说明〕这四张图片为左总颈动脉结紮两周後,两组实验小鼠两边总颈动脉的组织切片染色图。在这期间,控制组(左半边)未给予何治疗,而灵芝组(左半边)则是每天灌食300 mg/kg的灵芝萃取物。
左下图标示的L为血管腔,即血液流动的空间;I、M、A各为动脉内膜(intima)、中膜(media)和外膜(adventita),为构成动脉血管的三层结构;黄色虚线为两层组织中间的弹性膜。动脉内膜为动脉粥状硬化一开始发生的主战场,随着病变愈来愈严重,中膜也会受到波及。
比较这四张图,不管是把灵芝组和控制组的左总颈动脉相比,或是灵芝组比较自身两边总颈动脉的状况,都可以明显看出灵芝对内膜增生的抑制作用。(资料来源/Oxid Med Cell Longev. 2018;2018:3491703.)

图3 从内膜、中膜面积评估灵芝总萃取物
抑制动脉内膜增生的预防作用
〔说明〕统计图上的每个圆点,都代表一只小鼠的右总颈动脉(未结紮)或左总颈动脉(已结紮)。数一数即可知道控制组和灵芝组小鼠都各有九只。相较於图2的组织切片是从两组中各取一只小鼠的总颈动脉作代表,图3的数据则是呈现了每一只小鼠在左总颈动脉结紮两周後,内膜和中膜的状况。
从统计图中可以明显看出,实验期间有吃灵芝的小鼠,其经过结紮的左总颈动脉内膜和中膜,几乎和未结紮的右总颈动脉相仿;没吃灵芝的小鼠,其左总颈动脉都有增生现象。这说明了灵芝抑制动脉内膜增生的作用,具有普遍性的效果。*** p<0.001,表示两组数据比较有显着的统计学差异。
(资料来源/Oxid Med Cell Longev. 2018;2018:3491703.)
灵芝三萜类对动脉内膜增生有显着抑制作用
莫凡毅的团队另外还以同样的动物模式做了同样的实验,唯一的不同在於,把灌食小鼠的灵芝子实体总萃取物(同时含有三萜和多醣),换成每天皮下注射300 mg/kg的灵芝子实体三萜类总萃取物。结果就和上述灌食灵芝子实体总萃物一样好,均可看到动脉内膜增生受到明显的抑制(图4)。
实验使用的灵芝三萜类萃取物主要是由灵芝酸(ganoderic acids)A(21%)、B(8%)、C(4%)、C5(3%)、C6(1%)、D(10%)、E(2%)、G(5.5%)和灵芝稀酸(ganoderenic acid)D(7.5%)所组成。也就是说,含有这样组成的灵芝三萜类萃取物,可以有效防止动脉粥状硬化发生,甚至可以说,灵芝三萜类就是灵芝使动脉免於粥状硬化的主要成分。

图4 从组织切片评估灵芝三萜萃取物
抑制动脉内膜增生的预防作用
〔说明〕其他实验数据详见原论文第5页Figure 2。
(资料来源/Oxid Med Cell Longev. 2018;2018:3491703.)
灵芝三萜透过抗发炎、抗氧化机制,保护内皮细胞
血流紊乱之所以会造成动脉内膜增生,主要是因为内皮细胞(动脉内膜和血流接触的那一面,即是由内皮细胞组成)在血液乱流冲击下会出现功能失调的现象。正常的内皮细胞不只会分泌各种因子来调节血压、抑制血栓,还会分泌各种可以抗氧化、抗发炎的物质,避免血管病变,因此一旦内皮细胞功能失调,血管健康很快就会亮起红灯。
根据莫凡毅等的动物实验显示,小鼠总颈动脉在结紮後三天,虽然动脉结构尚无明显变化,但已经可以检测到这个区段动脉的内皮细胞不仅有较高的氧化压力,还会产生内皮素(endothelin-1)、温韦伯氏因子(von Willebrand factor)、单核球趋化蛋白素(monocyte chemoattractant protein-1)等有害内皮细胞失能的发炎因子,而这些现象在每天皮下注射300 mg/kg的灵芝三萜类的小鼠身上,均大幅减少。
类似的结果也可在细胞实验观察到:在体外模拟紊乱血流冲击内皮细胞的状况,结果发现,只要在内皮细胞加入500μg/mL的灵芝三萜类萃取物,就能大幅降低内皮细胞分泌细胞黏附因子(VCAM-1)、肿瘤坏死因子(TNF-α)和介白质6(IL-6)等发炎因子,显示灵芝三萜可透过「抗发炎机制」来保护内皮细胞。
再者,利用过氧化氢(即双氧水H2O2)在体外制造高氧化压力的环境,结果发现,只要把内皮细胞和500μg/mL的灵芝三萜类萃取物一起培养,三十分钟後因为高度氧化压力而死亡的内皮细胞,明显比没有三萜类的情况要减少很多。此结果说明灵芝三萜可透过「抗氧化机制」来保护内皮细胞。
已经开始病变的动脉,灵芝三萜也有治疗效果
为了了解灵芝三萜是否有治疗作用,莫凡毅的团队还做了另一项动物实验:在小鼠总颈动脉结紮手术後三天,内皮细胞已经开始出现失能现象了,才给予灵芝三萜类萃取物,同样是每天皮下注射300 mg/kg的剂量,持续给到实验第十四天,再观察小鼠总颈动脉的变化。结果发现,灵芝三萜类还是能有效抑制动脉内膜增生,这说明灵芝三萜类对於已经开始病变的动脉也有治疗作用(图5)。

图6 从组织切片评估灵芝三萜萃取物
抑制动脉内膜增生的治疗作用
〔说明〕其他实验数据详见原论文第10页Figure 8。
(资料来源/Oxid Med Cell Longev. 2018;2018:3491703.)
选择含有高浓度三萜的灵芝,保护心血管
灵芝防治动脉粥状硬化的成效,已在上述研究成果中充分展现。虽然该研究证明三萜类是重要的功效成分,但别忘了一开始的动物实验给小鼠吃的可是多醣和三萜都有的灵芝子实体总萃取物,因此也无法排除多醣在其中扮演的角色。
在目前还是以口服灵芝为主的情况下,三萜与多醣两者兼备或许还是最好的选择。当然如果能把三萜的比例提高,效果应该会比较理想;如果所吃的产品里没有三萜,对於动脉粥状硬化的防治是不依然有效,可能就无法保证了。
此外,这研究结果对於已经采用血管支架或气球扩张术来治疗动脉粥状硬化的患者,尤其具有意义。因为根据高雄长庚医院和全球心肌梗塞照护网的资料,单纯气球扩张数六个月内的再狭窄率为40%~50%,植入支架半年内再狭窄率也有20%~40%。而植入支架者出现动脉再狭窄的状况,若单纯以气球再扩张来解决,则半年内还是有20%~85%的二度再狭窄率。
所以,动脉粥状硬化造成的狭窄和阻塞,不是用血管支架或气球把血管「通一通」就没事了,这些「异物」在血管里造成的血液乱流,对病变的血管也是另一种伤害来源。
如何为自己的心血管提供更多的保护?含有高浓度三萜类的灵芝产品辅助治疗,相信是值得尝试的好选择。更何况同样的灵芝三萜类对於不可逆的心肌损伤(心脏过度负荷所引起),也有出人意表的防治效果呢!
想进一步了解的朋友,可参考文末「延伸阅读」所列的论文原文,或是阅读笔者在2014年对莫凡毅副教授所做的专访(健康灵芝杂志第63期第7~13页),文中亦报导,拥有美国伊利诺大学生化暨分子遗传所博士的他,致力开发心血管新药的他,为什麽会选择研究灵芝。(感谢莫凡毅副教授审阅本文)

《健康灵芝》63期专访莫凡毅副教授的报导。(图片来源/微生物文教基金会)
主要参考文献
Hsu PL, et al. Ganoderma triterpenoids exert antiatherogenic effects in mice by alleviating disturbed flow-induced oxidative stress and inflammation. Oxid Med Cell Longev. 2018 Apr 11;2018:3491703. doi: 10.1155/2018/3491703. eCollection 2018.
延伸阅读
1. 吴亭瑶:灵芝酸护心,抑制心肌细胞凋亡──专访成功大学细胞生物与解剖学研究所莫凡毅副教授。健康灵芝, 2014; 7-13.
2. Kuok QY, et al. The triterpenoids of Ganoderma tsugae prevent stress-induced myocardial injury in mice. Mol Nutr Food Res. 2013 Oct;57(10):1892-6.
其他参考资料
1. 方志元等:冠状动脉血管支架再狭窄的处理。高雄长庚医院心脏内科讲座。
2. 导管治疗。全球心肌梗塞照护网。
3. 动脉粥样硬化。维基百科。