2018年9月/福建医科大学附属协和医院等/Integrative Cancer Therapies
文/吴亭瑶、法雨辰(台湾大学生化科技学系博士班一年级)
〔文章版本一〕
文/吴亭瑶
脑瘤吃灵芝也有帮助吗?最近发表的这篇报告──这很可能是国际期刊上第一篇通过动物实验探讨灵芝在体内抑制脑瘤作用的报告──可以带给我们一些思考。
神经胶质瘤(glioma)是脑瘤中最常见的一种,为包覆在神经细胞周围的神经胶质细胞异常增生所造成,有可能是生长速度缓慢的良性肿瘤(是否会引起头痛等不适症状须依肿瘤生长部位和大小而定),也可能是生长快速的恶性肿瘤。
恶性神经胶质瘤(malignant glioma)已失去该细胞原本「负责滋养、支持和保护神经细胞」的功能,不只长得快,还可能在短时间内向外扩散。这类生长和扩散速度都很快的恶性神经胶质瘤亦被称为胶质母细胞瘤(glioblastoma),可说是人类最容易得到也最具杀伤力的脑瘤,患者即使在确诊後马上接受积极性治疗,平圴也只有十四个月的寿命,活超过五年者更只有5%。
因此,如何有效强化患者本身免疫系统的抗癌能力,就成了近年来医界治疗胶质母细胞瘤主要探索的领域。灵芝多醣可以调节免疫是已经公认的事实,但由於脑部和血管之间的血脑屏障(也称血脑障壁,blood–brain barrier)会选择性的阻止某些物质由血液进入脑细胞,因此对於位处脑部的胶质母细胞瘤,灵芝多醣是否也能发挥作用,需要进一步确认。
由福建医科大学附属协和医院、福建神经外科研究所、福建农林大学等於2018年9月联手发表在《Integrative Cancer Therapies》的报告证实,从灵芝(Ganoderma lucidum)子实体分离而得的多醣(代号GL-PS)能抑制胶质母细胞瘤生长,并延长荷瘤大鼠的生存期,其作用机制与免疫力的提升密切相关。
实验结果一:肿瘤比较小
实验使用的多醣GL-PS是一个分子量将近58.5万,且含有6.49%蛋白成分的大分子多醣。研究者先在大鼠脑内接种神经胶质瘤细胞,再以腹腔注射方式给予大鼠灵芝多醣GL-PS,每天注射剂量50、100或200 mg/kg(每公斤大鼠体重注射50、100或200毫克的灵芝多醣)。
经过持续两周的治疗後,以MRI(核磁共振)检查实验大鼠的脑瘤大小(图1A),结果发现,和有接种癌细胞但未给灵芝多醣的控制组大鼠相比,给予50、100 mg/kg灵芝多醣GL-PS的大鼠,肿瘤体积平均减少三分之一左右(图1B)。

图1 灵芝多醣GL-PS对脑瘤(神经胶质瘤)的抑制作用
实验结果二:延长生存期
在做完MRI之後,继续饲养所有实验大鼠,直至其死亡为止。结果发现,活得最久的是给予100 mg/kg灵芝多醣GL-PS的大鼠,平均生存期为32天,比控制组的24天多了三分之一,其中一只大鼠甚至活了45天。至於另外两组灵芝多醣GL-PS大鼠,平均生存期大约27天,和控制组差异不大。

图2 灵芝多醣GL-PS对脑瘤(神经胶质瘤)大鼠寿命的影响
实验结果三:提升免疫系统的抗肿瘤能力
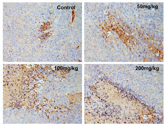
研究者进一步探讨灵芝多醣对於脑瘤大鼠免疫功能的影响,结果发现,腹腔注射灵芝多醣的大鼠,脑瘤里的毒杀性T细胞(图3)和脾脏中的淋巴细胞(包括T细胞与B细胞)均显着增加,血液里由免疫细胞所分泌、有利抗肿瘤的细胞激素,像是IL-2(介白素2)、TNF-α(肿瘤坏死因子)和INF-γ(干扰素)等,浓度亦比控制组要来得高。
此外研究者亦透过体外实验证实,灵芝多醣不仅能提升自然杀手细胞对神经胶质瘤细胞的杀伤力,使神经胶质瘤细胞的存活率大幅降低,还能促使树突细胞(免疫系统中负责辨识外来敌人和启动免疫反应的细胞)加快成熟,加快启动免疫系统全面对抗癌细胞的速度,同时也有助於毒杀性T细胞(可与癌细胞一对一撕杀)的生成。

图3 灵芝多醣GL-PS对脑瘤(神经胶质瘤)中
毒杀性T细胞数量的影响
〔说明〕此为大鼠脑瘤的组织切片,其中褐色部分即为毒杀性T细胞。Control为控制组,其他三组为灵芝多醣GL-PS组,其所标示的数据为荷瘤大鼠腹腔注射灵芝多醣的剂量。
看见灵芝多醣抗脑瘤的契机
上述研究结果说明,适量的灵芝多醣有助抗脑瘤。由於注射於腹腔的多醣会透过肝门静脉吸收,经由肝脏代谢再进入血液循环,进而与血液里的免疫细胞发挥作用。因此大鼠脑瘤生长之所以能受到控制,乃至其生存期之所以能够延长,应该和灵芝多醣刺激免疫反应、提升免疫功能有关。
显然生理结构上的血脑屏障,并不会屏避掉灵芝多醣对脑瘤的抑制作用。只是实验结果也告诉我们,灵芝多醣的使用剂量并不是愈多愈好,但太少似乎作用又不明显,到底多少才算「适量」,可能不同的灵芝多醣各有其定义,而且能否透过口服发挥等同腹腔注射的作用,也需要进一步研究加以确认。
不过上述研究成果至少已揭示了灵芝多醣抑制脑瘤生长和延长生存期的可能性,在捉襟见肘的治疗现况下,也许值得一试。
............................................................................................................................................................................................................
〔文章版本二〕
文/法雨辰(台湾大学生化科技学系博士班一年级)
难以治癒的胶质瘤
胶质瘤(Glioma)是最为常见的原发性脑肿瘤,病程的恶化也非常快速,平均存活仅仅十五个月,而两年内复发的机率几乎是百分之百!目前治疗方式是以手术切除为主,放射治疗及化学治疗为辅,由於胶质瘤的生长极具扩散侵犯性,虽然可以以手术切除大部分的肿瘤,然而手术後的化疗却会被脑部特有的「血脑屏障」所阻挡,导致治疗效果不佳。因此如何促进患者本身的免疫功能,提升体内免疫细胞对抗肿瘤的能力,便成为近二十年来临床治疗胶质瘤的重点。
灵芝多醣(GL-PS)已被证实具有多种生物活性,包括免疫调节、抗肿瘤、抗血管生成、抗氧化、抗炎及保肝的作用,亦被证实可以抑制不同肿瘤的生长并减少各种肿瘤细胞的增值。然而,中枢神经系统在解剖学上是独特的一门学问,因此中国的研究团队即以此研究来厘清GL-PS是否影响胶质瘤的生长及抗肿瘤的免疫调节。
灵芝多醣GL-PS对胶质瘤的抑制成效
从这份研究结果看来,GL-PS 50 mg及100 mg的剂量对胶质瘤皆有抑制作用。将带有胶质瘤的大鼠分别以50 mg、100 mg及200 mg三种GL-PS 剂量进行治疗两周,可以看到,50 mg/kg及100 mg/kg的GL-PS组别其肿瘤大小显着的减少(如下图A),并且增加了存活时间(如下图B)。

灵芝多醣GL-PS促使免疫细胞转向抗肿瘤型态
过去已有研究指出,GL-PS对多种肿瘤会有免疫功能的影响,从此研究结果可以得知,GL-PS对带有胶质瘤的大鼠依然有免疫方面的影响。如下表,以GL-PS治疗的大鼠体内其IL-2、TNF-α以及INF-γ的浓度都比对照组的浓度高出许多。从此结果可以得知,以GL-PS治疗的大鼠可以将体内的免疫细胞型态转向有抗肿瘤效果的型态。

灵芝多醣GL-PS可增加自然杀手细胞活性
NK细胞(自然杀手细胞)疗法在目前已经是肿瘤治疗的新希望,而且多项研究证实GL-PS可以增强部分肿瘤其NK细胞疗法的作用,然而目前尚无充分证据证实GL-PS是否对胶质瘤亦有同样的效果。
如下图所示,与对照组相比,以GL-PS治疗的大鼠体内NK细胞的活性显着的增加,而且是随着剂量的增加而增加,因此可以间接证实,GL-PS是有潜力辅助NK细胞疗法来治疗胶质瘤的!

灵芝多醣GL-PS可加速树突细胞成熟
在许多的免疫细胞中,树突细胞是一个特殊的抗原呈现细胞,这些细胞不断在周边及组织进行巡查,并将抗原呈现给淋巴细胞,以对抗外来病原或癌细胞。树突细胞的成熟代表着树突细胞与T细胞交互作用的完成,也代表着免疫作用的启动。
结果如下图所示,与对照组相比,以GL-PS刺激的树突细胞表达较高的MHC-II、CD40、CD80和CD86,代表着树突细胞的成熟。在未来,将可搭配癌症疫苗的应用来提升效能!

灵芝多醣GL-PS+免疫疗法,胶质瘤的新疗法?
从上述的研究结果可以得知,若将灵芝多醣与免疫疗法一同进行,似乎对癌症的治疗更有效果,也替难以治癒的胶质瘤带来更多有利的治疗契机!
〔资料来源〕Wang C, et al. Antitumor and Immunomodulatory Activities of Ganoderma lucidum Polysaccharides in Glioma-Bearing Rats. Integr Cancer Ther. 2018 Sep;17(3):674-683.
〔参考资料〕Tony D'Ambrosio. Glioma vs. Glioblastoma: Understanding Treatment Differences(神经胶质瘤Glioma和胶质母细胞瘤Glioblastoma在治疗上的差异).Neurosurgeons of New Jersey. 2017 Aug 4.