2020年7月6日/埃及Delta科技大学等/Oxidative Medicine and Cellular Longevity
2020年6月11日/埃及Delta科技大学等/Drug Desing, Development and Therapy
文/吴亭瑶

化疗伤肝伤肾,灵芝保肝护肾。灵芝的保肝护肾,抵挡得了化疗的伤肝伤肾吗?
埃及Delta科技大学药学系Hanan M Hassan教授,以及Ain Shams大学药学系Yasmen F Mahran教授领军的团队,以癌症治疗最常见的传统化疗──顺铂(cisplatin)作为试金石,检验灵芝保护肝、肾细胞不受顺铂伤害的可能性。
研究成果分保肝和护肾两篇,於2020年六月和七月发表在《Drug Design, Development and Therapy》(药物设计、开发与治疗)和《Oxidative Medicine and Cellular Longevity》(氧化医学与细胞寿命)两份科学期刊上。
研究者通过动物实验发现,灵芝能通过抗氧化、抗发炎、抗凋亡等三重作用,挡下不少由顺铂诱发的氧化损伤、发炎损伤和细胞凋亡,而且这样的保护不论在肝、肾都适用。此结果不仅突显出灵芝左右开弓的价值,更为癌症化疗的必要之恶提供了可行的解套方法。
Part 1 灵芝保肝 vs. 顺铂肝毒性

研究者透过六组健康大鼠,比较有无并用灵芝,对於顺铂损伤肝组织的差异。牠们分别是:
◆正常组:未接受任何处置;
◆灵芝组:不注射顺铂,但每天吃灵芝;
◆顺铂组:只注射顺铂,不吃灵芝;
◆顺铂+每天吃灵芝组;
◆顺铂+隔天吃灵芝组(两天吃一次);
◆顺铂+注射灵芝组。
凡接受顺铂治疗者,都是在实验第一天腹腔注射12 mg/kg顺铂引发急性肝损伤;注射灵芝者则是在实验第二和六天各腹腔注射一次灵芝。
实验使用的灵芝除了三萜、固醇(甾醇)、多醣等活性成分,亦含有与抗氧化相关的多酚类(约133 mg GAE/g)与黄酮类(约23 mg QE/g),其在动物实验的使用剂量,不论是口服或腹腔注射,都是以一天500 mg/kg计算。
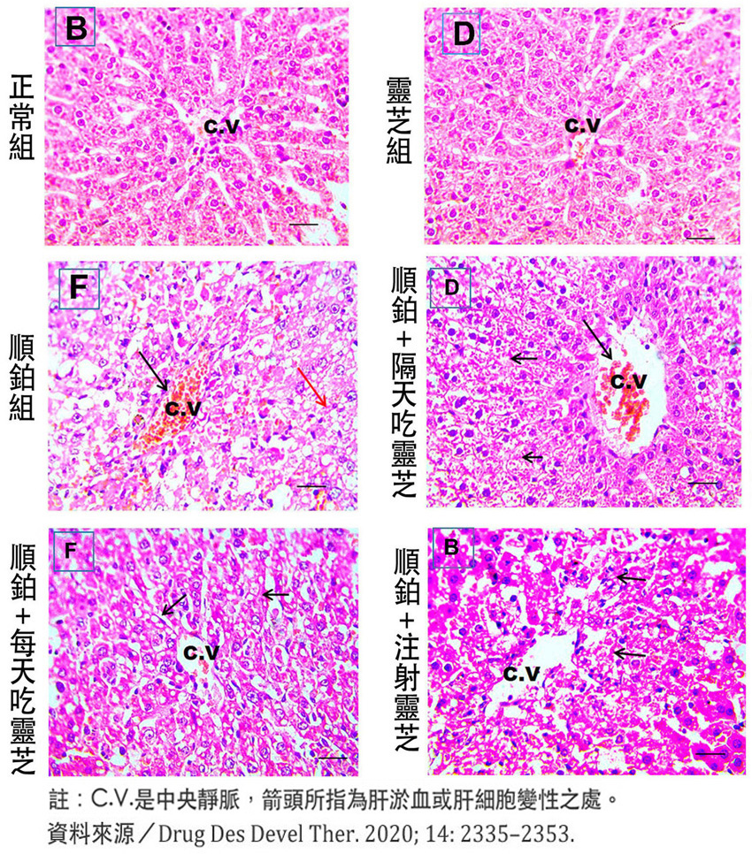
(1) 灵芝减少肝细胞损伤
经过十天的实验之後发现,顺铂会让大鼠血中验到的肝炎指数和总胆红素升高,这些都是肝细胞损伤的表徵,但若同时有灵芝介入,这些指标升高的幅度就会明显减少(图1)。

图1 顺铂与灵芝对肝损伤指标的影响
把肝组织切片放到显微镜底下检视则可看到,顺铂会引发肝淤血(本应回流心脏的血液因故受阻而淤滞在肝静脉内)、肝细胞出现水泡或空泡变性(细胞损伤最早出现的变化)和肝细胞凋亡,不过这些问题同样都能因为并用灵芝而减轻严重程度。

图2 顺铂与灵芝对肝组织细胞的影响
(2) 灵芝增强肝细胞的抗氧化能力
进一步比较各组肝组织遭受的氧化伤害,观察指标有二:自由基破坏细胞膜後形成的产物MDA(丙二醛),以及自由基被抗氧化酵素代谢後的中间产物H2O2(过氧化氢)。
此二者都具有自由基的氧化特性,因此可从它们的数量得知肝组织「已经遭受」和「即将遭受」的氧化损伤。从图3可知,顺铂会对肝组织造成极大的氧化伤害,但如果同时有灵芝介入,则可让这样的伤害降低。
由於各组肝组织里抗氧化酵素(SOD、GSH)的浓度变化,和这氧化损伤指标呈现完全相反的趋势,因此可以推断,灵芝会透过「增加抗氧化酵素」来提升肝组织的抗氧化能力,来降低氧化损伤。

图3 顺铂与灵芝对肝组织氧化损伤的影响
(3) 灵芝增强肝细胞的抗发炎能力
顺铂透过破坏DNA和诱发大量自由基,威胁细胞的生存,这股压力会迫使细胞则打开细胞内调控发炎反应的总开关NF-kB,促使细胞合成并释放肿瘤坏死因子TNF-α等细胞激素,启动第一波的发炎反应,向免疫系统发送求救讯号。
紧接在後的是,那些因氧化伤害或发炎致死的细胞会释出另一种细胞激素HMGB-1,活化更多的免疫细胞,激起一波接一波的发炎反应。
延烧不止的发炎反应不仅会反过催化氧化反应,也会把更多细胞带向死亡,甚至让肝组织在反覆发炎、修复的过程中分泌更多胶原蛋白,逐渐朝纤维化发展。
所幸就像灵芝可以减轻顺铂造成的氧化损伤一样,动物实验结果也证实,顺铂与灵芝并用能抑制发炎开关NF-kB的活化,减少促发炎的TNF-α和HMGB-1,同时增加肝组织里的「抗发炎因子」IL-10(图4)。
这些作用加总,不仅达到抑制发炎的作用,也减少了胶原蛋白在肝组织的沉积,阻止了肝纤维化的进展(图5)。

图4 顺铂与灵芝对肝组织发炎的影响

图5 顺铂与灵芝对肝纤维化的影响
(4) 灵芝增强肝细胞的抗凋亡能力
不管顺铂是通过氧化损伤或发炎损伤哪一种手段,最後都殊途同归地启动了「细胞凋亡」机制,把肝细胞逼向死亡。
换句话说,如果肝细胞能守住最後的生死防线,就有更多的机会存活,也更能降低肝损伤的严重程度。
调控细胞凋亡的蛋白分子有很多,其中最具代表性的莫过於:促使细胞凋亡的p53,抑制细胞凋亡的Bcl-2,以及在最後关头执行细胞凋亡任务的caspase-3。
根据研究者对各组实验动物的肝组织所做的分析,灵芝既可促进Bcl-2,也能抑制p53和caspase-3,这些作用都为肝细胞注入了强大的抗凋亡能量。
(5) 灵芝酸扮演重要的抗发炎角色
从抗氧化、抗发炎、抗凋亡,再到最後实际表现出来的减轻肝损伤,研究者把灵芝抑制顺铂肝毒性的作用机制汇整成图6,方便读者一目了然。

图6 灵芝抑制顺铂肝毒性的作用机制
此外,研究者也在电脑上通过「分子对接模拟系统」分析灵芝里有哪些成分会对抑制顺铂肝损伤做出贡献。结果发现,灵芝三萜里至少有14种灵芝酸(如下表)可以直接与细胞激素HMGB-1有效结合,使HMGB-1的促发炎活性失灵。

由於HMGB-1在顺铂引发的急性肝炎中扮演重要角色,而抑制HMGB-1又是灵芝保护肝脏避免顺铂损伤的重要机制之一,因此,「富含灵芝酸」就成了灵芝减轻顺铂肝毒性的指标成分。
什麽样的灵芝原料会含有如此丰富的灵芝酸?根据过去的研究可知,它们主要存在於「灵芝子实体」里,而「乙醇(酒精)萃取」可以将它们大量提取出来。
值得一提的是,只吃灵芝的灵芝组大鼠,在上述各项实验结果里,几乎都和正常组的大鼠一样,说明灵芝的「有效」是建立在「安全」之上的。
此外,灵芝的使用方法也很重要。如果你愿意重新再看一次展示在本文中的图表,不难发现「每天吃灵芝」的效果最好。
Part 2 灵芝护肾 vs. 顺铂肾毒性

其实不只减轻顺铂肝毒性是每天吃灵芝效果最好,在减轻顺铂肾毒性的动物实验里也是每天吃灵芝的效果最好。
和「灵芝保肝vs. 顺铂肝毒性」的动物实验一样,「灵芝护肾vs. 顺铂肾毒性」的也是将健康大鼠分为同样的六组进行实验。实验天数、使用的灵芝、灵芝的用法、顺铂的剂量也都一样,差别在於,在观察灵芝如何护肾时,顺铂注射的时间是在实验第三天(而非第一天)。
(1) 灵芝抗氧化、抗发炎,减轻肾损伤
结果就如同灵芝对肝组织的保护那般,对於顺铂造成的血清尿素氮、肌酸酐等肾损伤指数升高,以及肾组织自由基增加、抗氧化酵素减少、促发炎细胞激素增加等等,灵芝的并用都能让这些问题的严重程度明显趋缓。
直接观察各组大鼠肾组织染色切片也可发现,当顺铂造成大鼠肾淤血、肾小管扩张、肾小管上皮细胞坏死脱落或空泡化变性之际(染色切片图上有各种表示损伤的箭头),唯有「顺铂+每天吃灵芝」的大鼠肾组织受到的伤害最轻(图7)。
由於顺铂会大量堆积在肾小管的上皮细胞里,因此研究者特地将肾小管损伤的程度量化,结果更清楚可见,灵芝对於肾小管的保护作用(图7)。
图7 顺铂和灵芝对肾组织的影响
(2) 灵芝抗凋亡,保护肾细胞
细胞凋亡是身体为了维持生命品质淘汰老化或异常细胞的正常机制,因此正常的组织器官或多或少也都能检测到凋亡细胞,这样的凋亡无伤大雅,可是一旦细胞因为某些原因一起大量凋亡时,组织器官的运作就会受到影响。
图8呈现的是各组大鼠肾组织的细胞凋亡状况,呈现的色泽越深,代表细胞凋亡的数量越多。很明显的,顺铂会造成大量肾细胞凋亡,但若同时有灵芝保护,细胞凋亡的状况就不会那麽严重。

图8 顺铂和灵芝对肾细胞凋亡的影响
小结:保好肝、顾好肾,才有战胜癌症的希望
其实灵芝减轻化疗副作用的研究,过去就有不少,像是灵芝减轻顺铂造成的肾毒性之前已有印度团队证明过,也有研究团队证明灵芝多醣可以减轻乳癌的常用化疗药小红莓(doxorubicin)的心毒性。此外,灵芝减轻顺铂引起恶心呕吐、灵芝多醣改善顺铂引起的疲惫……也都有科学性的讨论和证明。
埃及团队对於灵芝减轻顺铂肝肾毒性的探讨,最特别之处,是他们用了同一种灵芝材料,在同样的动物实验条件下进行观察,结果发现灵芝可在顺铂的威胁下同时发挥保肝、顾肾两种作用,让我们更加明白,灵芝的保护不是单一片面的,吃灵芝是可以一举多得的。
化疗是治疗癌症最常见的必要手段,但化疗药既杀癌细胞、也伤正常细胞的「两面刃」特性,却是所有患者难以承受之重。
或许坚强的意志可以撑得住恶心、呕吐、腹泻、口乾、嘴破等难受,但身体代谢药物必经的肝脏、肾脏,却不是靠着坚强的意志就能获得保护。
一旦没有运作良好的肝、肾,癌细胞清得再乾净也没用。真正的抗癌成功,必须在消灭癌细胞的同时,也保住了维系生命、维持生活的组织器官。
期盼这些科学证据可以让更多病友相信,化疗前可以吃灵芝,化疗中也可以吃灵芝,化疗後更要吃灵芝,而且最好是天天吃,才能提供身体时时刻刻的保护。
当身体有了足够的灵芝保护,化疗第一时间造成的伤肝伤肾,乃至伤心伤神,就有机会被抵销大半。当肝、肾、心(脏)、(精)神受到的伤害愈少,才愈有可能走出癌症化疗的虚弱,重拾健康。
〔资料来源1〕Hanan M Hassan, et al. Suppression of Cisplatin-Induced Hepatic Injury in Rats Through Alarmin High-Mobility Group Box-1 Pathway by Ganoderma lucidum: Theoretical and Experimental Study. Drug Des Devel Ther. 2020; 14: 2335–2353.
〔资料来源2〕Yasmen F Mahran, et al. Ganoderma lucidum Prevents Cisplatin-Induced Nephrotoxicity through Inhibition of Epidermal Growth Factor Receptor Signaling and Autophagy-Mediated Apoptosis. Oxid Med Cell Longev. 2020 Jul 6;2020:4932587. doi: 10.1155/2020/4932587.