长庚团队的研究证实,小孢子灵芝免疫调节蛋白质GMI可以解除髓源性抑制细胞(DMSC)对T细胞的压制,让T细胞主导的免疫反应可以正常发挥,不仅为金黄色葡萄球菌引发的人工关节感染带来治疗的可能性,也为癌症和新冠肺炎重症患者的治疗带来了希望。
文/吴亭瑶

不管是对抗病毒或细菌感染,还是对抗癌细胞,正常情况下免疫系统应该会把敌人溃击到某个程度,才会慢慢踩刹车,进入收拾残局的阶段。可是有些病毒、细菌和癌细胞却有办法让免疫系统一开始就踩刹车,为自己创造作乱、坐大的有利空间,让治疗变得困难,也让病人更加痛苦。
要帮免疫系统恢复原有战斗力的并不简单,因为黑势力已经盘据一方,而且往往是药物也难以清除的狠角色。所幸,根据最新的科学研究显示,小孢子灵芝免疫调节蛋白质GMI(Ganoderma microsporum immunomodulatory protein)可以帮我们扭转局势。
由长庚医院、长庚大学医学院、长庚科技大学共同发表在《International Journal of Molecular Sciences》(国际分子科学期刊)2021年7月号的研究证实,GMI能化解金黄色葡萄球菌引起的免疫抑制反应,使T细胞主导的免疫反应得以正常发挥,进而有效改善人工关节感染。

〈来自小孢子灵芝的免疫调节蛋白GMI可调节髓源性抑制细胞(MDSC)和作用型T细胞,使人工关节感染获得控制〉获刊於影响因子(2020年)5.9的《International Journal of Molecular Sciences》,第一作者和通讯作者为嘉义长庚纪念医院关节重建科副教授级主治医师彭国狄,该院感染医学科主治医师黄琮舆同为通讯作者。
GMI能削弱金黄色葡萄球菌诱发的免疫抑制作用
以人工关节取代不堪使用的膝关节或髋关节,无非是希望重拾行动自如的生活品质。虽然多数结果都是如愿以偿,还是有少数人在做完手术之後,因人工关节的周边组织受到细菌感染,轻者是几个月的关节肿痛难行,重者则是骨头受到侵蚀而必须打开伤口进行清创和重新更换人工关节。(详参:骨科线上-人工关节感染|早期发现早期治疗)
其中最难处理的莫过於金黄色葡萄球菌造成的感染,因为这种细菌不仅会形成生物膜(biofilm)把自己包覆起来抵挡抗生素的追杀,还会促使髓源性抑制细胞(myeloid-derived suppressor cells,简称MDSC)异常扩增。
由於DMSC会抑制T细胞(免疫系统对抗各种感染的最高指挥军团)的增生,其中又以可以锁定目标、直捣黄龙的毒杀性T细胞受到的影响最大,因此DMSC的扩增将会使感染灾情变得难以控制。
一如其他类型的免疫细胞,MDSC也是从骨髓细胞分化而来。根据长庚团队的研究显示,金黄色葡萄球菌确实会让小鼠骨髓细胞分化出更多的MDSC,但如果同时间有GMI介入协调,则可大幅或完全抵消金黄色葡萄球菌的作用,让DMSC维持在原本(未感染时)应有的状态(图1)。
由於GMI在「没有」金黄色葡萄球菌的情况下,并不会对骨髓细胞分化MDSC的数量产生影响,因此可以得知,GMI抑制MDSC的作用只是针对金黄色葡萄球菌而来,并不会干扰MDSC在正常免疫反应中扮演的角色。

图1 GMI可降低金黄色葡萄球菌对MDSC的影响
【说明】受到金黄色葡萄球菌感染的小鼠骨髓细胞,48小时後分化为MDSC(髓源性抑制细胞)的数量是未感染时的1.5倍。但如果同时有GMI介入,金黄色葡萄球菌促进MDSC分化的作用则会明显受限,甚至被完全抵消(当GMI浓度为2.5 μg/mL时)。
长庚团队以小鼠细胞做的体外实验还发现,在感染金黄色葡萄球菌状态下分化的MDSC,其对T细胞增生的抑制作用会比没有感染时更强。不过如此这般的抑制作用还是能被GMI化解──GMI的浓度愈高,T细胞的增生能力愈好,而且增生的T细胞类型正是以抗感染所需的毒杀性T细胞占大多数(图3)。

图2 GMI能削弱MDSC抑制毒杀性T细胞增生的作用
【说明】把小鼠骨髓细胞在「有感染」和「无感染」情况下分化的MDSC,先以不同浓度的GMI处理24小时,再与小鼠脾脏T细胞一起培养48小时。结果显示,MDSC可以完全压制T细胞毒杀性T细胞的增生,但如果有GMI介入协调,毒杀性T细胞就能突破MDSC的枷锁大幅增生。
GMI能减轻金黄色葡萄球菌对骨头的感染
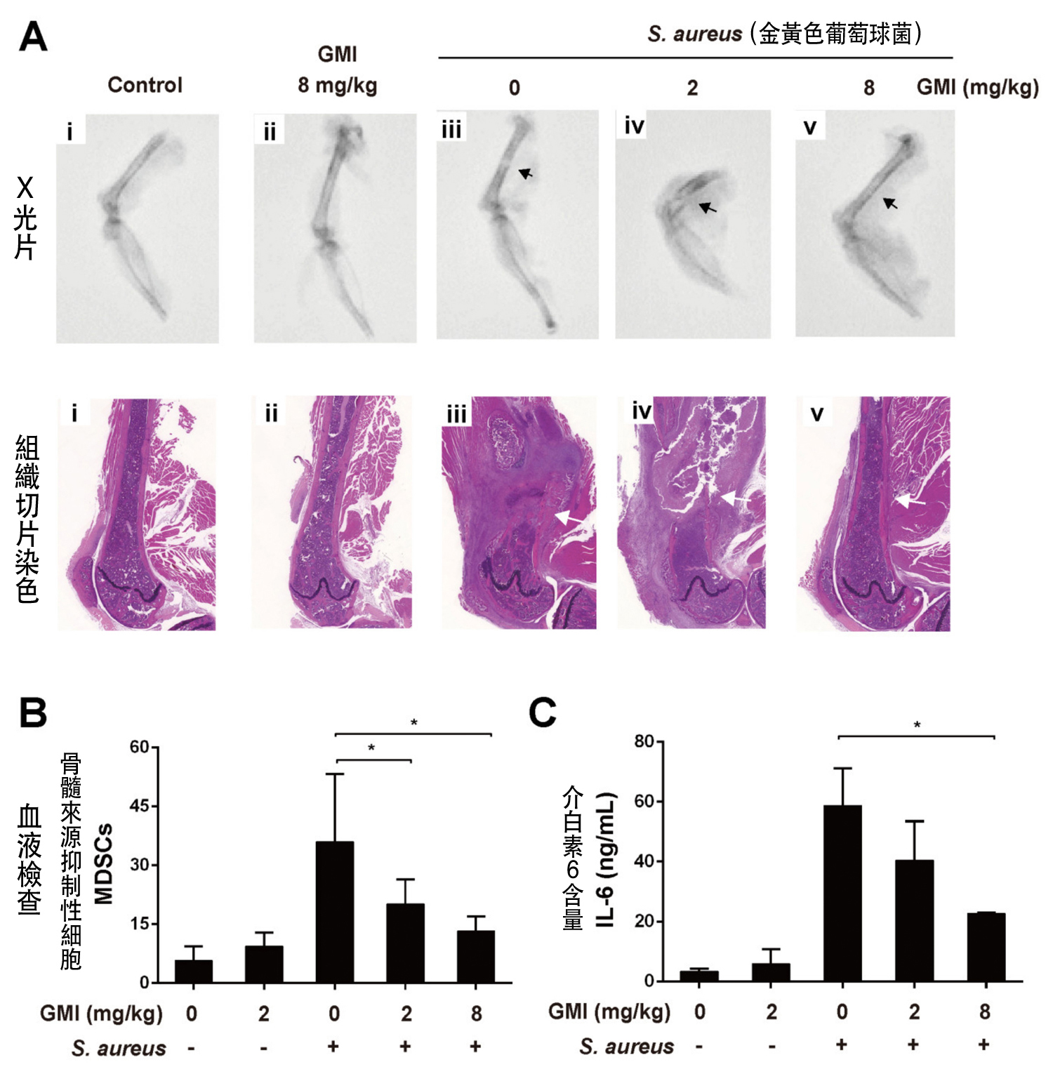
上述体外细胞实验所观察到的,GMI对於MDSC和T细胞的调节作用,似乎都能在体内发挥。因为根据长庚团队以小鼠模拟人类人工关节感染所做的实验,同样是在股骨植入工材料後感染金黄色葡萄球菌,术後有接受GMI治疗的小鼠(在感染三天之後开始治疗,每周腹腔注射GMI三次,每次剂量8 mg/kg,持续两周),骨头受到细菌侵蚀、破坏的程度明显减轻(图3A),小鼠周边血液中的MDSC数量也明显减少,有助於T细胞增殖的介白素6(IL-6)则是明显增加(图3B)。

图3 GMI能改善金黄色葡萄球菌造成的感染
【说明】五组小鼠均在股骨髓腔中植入人工材料,控制组(Crontrol)和GMI组都没有受到感染,「S. aureaus(金黄色葡萄球菌)+GMI组」则在感染三天後开始以GMI治疗:每周腹腔注射GMI三次,每次0、2、8 mg/kg,持续两周。
GMI带来的治疗希望,岂止人工关节感染!
细菌(尤其是金黄色葡萄球菌)引发的人工关节感染,往往无法靠服用抗生素获得改善。即使可以进行清创和更换新的人工关节(因为细菌对骨头的侵蚀会让原先装的人工关节松脱而无法发挥功能,所以必须重换),却无法避免反覆医疗造成的身心疲惫、医疗所费不赀,以及10%~30%的失败率。
因此,如果能有一个方法可以「毋须打开伤口」就把细菌解决、保护骨头组织,即可免除患者再次接受术、再次承担手术风险的痛苦。GMI显然为人工关节感染带来了另一种治疗的可能性。
此外,GMI解除髓源性抑制细胞DMSC对T细胞的压制,让T细胞主导的免疫反应可以正常发挥,也为我们带来了其他相关疾病的治疗希望。
因为有些恶性肿瘤也会利用DMSC压制免疫反应使病情恶化,甚至连现在最流行的新冠病毒(SARS-Cov-2)也会促进DMSC的增生,让确诊者病情加重(详参:武汉肺炎-骨髓免疫细胞增多或致染疫患者病情更严重;Myeloid immune cells in the blood tied to severe COVID-19),如何降低DMSC的增生已成为治疗新冠肺炎重症患者的重要课题。
不论是抗细菌、抗病毒还是抗肿瘤,决胜关键都在免疫系统,而能够帮助主导免疫系统的T细胞不被细菌、病毒、癌细胞劫持,还能协调免疫反应在复杂的攻守之间掌握节奏感和平衡感,小孢子灵芝免疫调节蛋白GMI肯定当之无愧。
〔资料来源〕Kuo-Ti Peng, et al. GMI, an Immunomodulatory Peptide from Ganoderma microsporum, Restrains Periprosthetic Joint Infections via Modulating the Functions of Myeloid-Derived Suppressor Cells and Effector T Cells. Int J Mol Sci. 2021 Jun 25;22(13):6854. doi: 10.3390/ijms22136854.