根据澳门大学中药质量重点研究室、美国药典委员会,今年8月10日公布在《Scientific Reports》的调查报告显示,在美国市场上销售的19件灵芝膳食补充品中,有超过七成(14件)成分标示与事实不符。美国尚且如此,如果这项调查是在其他地方进行,不知结果又会如何?
文/吴亭瑶

灵芝功效何其多,从免疫调节、保肝护心、养肺顾肾、延缓衰老、抗肿瘤、抗过敏、抗发炎…..林林种种,不一而足。问题是,你吃的灵芝,真的是灵芝吗?
澳门大学中药质量重点研究室、美国药典委员会联手,用最完整的精密分析与检测程序,以《中国药典》所认定的两大灵芝活性成分──多醣与三萜──为基础,抽样调查19件以膳食补充剂型式(类似我们的保健食品)在美国Amazon.com和eBay Inc.合法贩售的灵芝产品。
结果发现,有超过七成的比率,包装或说明书上的标示虽有三萜或多醣,但实际上却检测不到(如下表)。此份调查报告已於今年(2017)8月10日发表在顶尖知名科学期刊《Scientific Reports》(科学报导)。

六成产品测不到灵芝三萜
由於三萜和多醣是灵芝子实体主要的活性成分,灵芝多方面的功效也都和这两种成分息息相关,中国官方出版的《中国药典》也是以三萜和多醣,作为灵芝产品的两大标志性成分,因此研究者认为,所谓的「灵芝产品」至少应含有这两种成分。
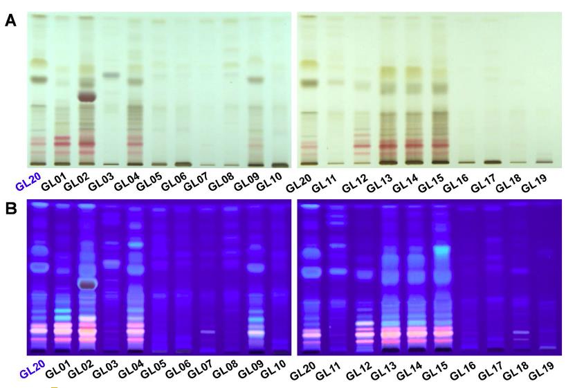
研究者以中国菌物学家卯晓岚教授监定的灵芝(Ganoderma lucidum)子实体原材料作为对照品(代号GL20),并以HPTLC分析法,监定产品里是否含有灵芝三萜。结果仅8件灵芝产品能检测出和GL20子实体相当的灵芝三萜,有11件测不出来。

美国市售灵芝产品HPTLC三萜指纹分析图
〔说明〕图A是白光下的HPTLC三萜指纹图谱,图B则是紫外光下的HPTLC三萜指纹图谱。不管从哪一张图都可轻易看出,只有GL01、GL02、GL04、GL09、GL12、GL13、GL13、GL15跑出来的图谱,和作为标准品的GL20比较相似。
七成产品测不到灵芝多醣、却验得出淀粉多醣
同样是以灵芝子实体原材料作为对照品(代号GL20),透过PACE、GC-MS两种分析方法,重复验证灵芝产品中是否含有「1,3-β-D-glucan」结构的活性多醣,并且透过呈色分析法和PACE分析法,双重监定产品中是否渗有淀粉。
结果发现,19件灵芝产品中,有13件被验出含有淀粉,仅5件产品可检测出灵芝中最主要的活性多醣1,3-β-D-glucan。另外有4件产品(GL02、GL3、GL12和GL19)可能含有淀粉多醣和灵芝多醣以外的醣类。

美国市售灵芝产品PACE多醣指纹分析图
〔说明〕图A是以PACE分析淀粉多醣的结果,有13件产品被验出淀粉多醣;图B则是以PACE分析灵芝中主要的活性多醣1,3-β-D-glucan的结果,只有GL01、GL09、GL13、GL13、GL15检测得到。
虚拟市场是混水摸鱼者的天堂?
研究者表示,虽然这项调查只抽样了19件产品,但已足以说明灵芝膳食补充品在美国市场上的状况,事实上只要抽样10件产品做分析就具有代表性了。
总的来说,这19件抽样调查的灵芝产品中,仅5件产品真正且同时含有灵芝多醣和灵芝三萜,而有14件产品的成分标示与实际不符。
花钱买灵芝产品,结果真正能吃到灵芝的机率竟然只有四分之一,甚至还可能吃到一堆会发胖的淀粉,或是不知名的成分,这对满心期待以灵芝维护健康的消费者来说,真是情何以堪?
如果把这样的调查放在其他地方进行,不知道会得到什麽样的结果?
事实上「成分不实」的情况在保健食品市场上屦见不鲜。
本篇调查报告即提到,2015年2月,美国纽约州检查长下令GNC、Target、Walgreens和Walmart四大零售通路,停止贩售「名不符实」的膳食补充品,因为在那些以本草为原料的产品里,根本验不到包装盒上所宣称的原料DNA,而这些「虚假产品」在当时抽样调查的产品中,占了将近八成左右,和此次灵芝产品调查发现有七成多的虚假率相去不远。(详参延伸阅读)
所以,当你在花钱买健康时,只对包装盒上的成分标示斤斤计较,已经不足为靠。
还是认真打听卖你产品的业者,有没有自己的灵芝农场,还比较实在。毕竟唯有掌握真材实料,才有做出好产品的实力与本钱。
〔资料来源〕Wu DT, et al. Evaluation on quality consistency of Ganoderma lucidum dietary supplements collected in the United States. Sci Rep. 2017 Aug 10; 7(1):7792.
〔延伸阅读〕Anahad O'connor, New York Attorney General Targets Supplements at Major Retailers. The New York Times, 2015 Feb 3.
★敬请尊重着作权,欢迎以连结网址的方式友善分享,请注明作者、出处与图片来源,并保留文章「从标题到参考文献」的完整性,请勿将图文移花接木、占为己有,或与商品、商业行为连结。