因为日相安倍请辞消息,才让世人注意到溃疡性大肠炎。此病根源就出在免疫系统调控失灵,让不该出现的发延烧不止。向来给人「增强免疫」印象的灵芝,其实也是「调控发炎反应」的高手。藉由本文回顾现有研究,证明灵芝三大活性成分对溃疡性大肠炎都有很好的调节作用。期许所有「需要终身治疗的免疫疾病患者」都能透过灵芝的调理,找回平衡的免疫与健康。
文/吴亭瑶

2020年8月28日下午日本首相安倍晋三召开记者会请辞首相职务。
(图/Wikimedia Commons)
如果不是因为日本首相安倍晋三突然在8月28日宣布请辞,许多人也不会注意到这个已被健保和各大医疗保险列为重大伤病的「需终身治疗之全身性自体免疫症候群」──溃疡性大肠炎(也称溃疡性结肠炎,Ulcerative Colitis)。
其实2007年安倍第一次担任日本首相才刚满一年,就曾因为溃疡性大肠炎复发而壮志未酬。这个自安倍十七岁就与他为伍的宿疾,先是扳倒日本有史以来最年轻的首相(五十三岁),又再扳倒日本在位时间最常的首相(六十六岁),说明与此病之难缠与难治。
因为免疫失调,所以发炎不止
一般人吃坏肚子或病菌感染腹痛、腹泻个几天就受不了了,何况是发作起来每天都要跑十几次厕所,甚至还会合并便血、发烧、呕吐、脱水、体重狂掉……的溃疡性大肠炎。前者事出有因可以药到病除,後者则是原因不明的肠道黏膜发炎和溃疡,药到除不了病根,只能设法抑制发炎、减轻相关症状。
说穿了,溃疡性大肠炎的问题就出在「不该出现的发炎却发炎不止」。当启动发炎反应的免疫系统调控失灵,像是踩了油门却踩不了煞车,或是错把善者或自己人当敌人攻击,就会让本该长保安康的发炎反应,反而成了令人柔肠寸断的健康杀手,甚至还会在长期反覆发炎的过程引发细胞癌变。

图1 大肠部位示意图&溃疡性大肠炎内视镜影像
大肠分为盲肠、结肠、直肠三段(左图):盲肠与小肠的最後一段(回肠)相连接,可防止进到大肠的食物回流;可再细分为四节的结肠则是执掌大肠的消化吸收功能,并将剩余残渣形成粪便交由直肠储存,等待排出。
溃疡性大肠炎主要发生在结肠和直肠的黏膜组织,少数会扩及回肠末端。以内视镜检查(右图)会看到结肠黏膜有发炎、溃疡现象。(左图/吴彦仪绘,右图/Wikimedia Commons)
消炎只是治标,调节免疫才能治本
关於免疫失调的问题,现有药物只能从免疫失调引发的「症状」着手。虽有机会把活火山变成休火山(就像安倍有段时间都控制得不错),却难保突然有一天又再火山爆发,而且爆发得更不受控,彷佛一口气要把之前闷住的全都发作回来。
如果能在缓和症状的同时,把失调的免疫反应拨乱反正,亦即既收拾烂摊子,也把肈祸根源理一理,应该就有机会把大火山变小火山,把休火山休眠的时间拉得更长,进而把发作的严重程度愈降愈低,把复发的频率愈减愈少,把癌变推得愈来愈远。
「调节免疫、扶正固本」本来就是灵芝行走江湖的金字招牌。根据目前已经发表的科学文献可知,不论是来自灵芝的多醣、三萜或免疫调节蛋白(小分子蛋白质),都能从调节免疫入手,对溃疡性大肠炎的改善发挥重要的作用。
灵芝多醣改善发炎反应
调节Th17细胞是关键
2018年中国医科大学免疫学教研室发表在《Journal of Immunology Research》的研究证明,以口服方式预防性给予灵芝(Ganoderma lucidum)菌丝体多醣粗萃物GLP两周,可明显降低溃疡性大肠炎急性发作时的严重程度(图2)。




图2 灵芝多醣减轻溃疡性大肠炎的症状
以灵芝菌丝多醣GLP喂食小鼠20天(每天100 mg/kg),其中後面6天於小鼠饮水添加2.5% DSS诱发溃疡性大肠炎急性发作。结果比起没有GLP保护的小鼠:
(a)GLP组的体重流失较少,(b)综合体重下降、大便稠度、便血程度等三项指标评估的「疾病活动度」较低,(c)与发炎程度呈反比的结肠长度较长,(d)综合黏膜组织破损和白血球浸润范围进行评估的「组织损坏程度」也比较小。(资料来源/参考文献1)
注:DSS(dextran sulfate sodium,葡聚糖硫酸钠)是诱发实验动物出现类似人类溃疡性大肠炎症状的药剂,以2~5%的浓度加入动物饮水中,一周内可引起相关症状。
为什麽灵芝多醣可以改减轻溃疡性大肠炎?该研究发现,事前补充灵芝菌丝多醣GLP的小鼠,在被诱发溃疡性大肠炎急性发作时,大肠黏膜组织里与发炎相关的细胞激素比较少(图3),对发炎有促进作用的自然杀手细胞、NKT细胞、Th17细胞也没那麽多,可以分泌黏膜组织主要抗体IgA的B细胞则是逆势成长。
这些免疫上的变化,不仅有助缓和发炎反应,帮助肠道抵抗感染,还有机会校正失衡的「Th17细胞」和「调节性T细胞(regulatory T cell,简称Treg)」,从源头改善溃疡性大肠炎的自体免疫问题。
每一种自体免疫疾病都有促使其发病和病情加剧的关键因子,对溃疡性大肠炎来说,这个关键因子就是T细胞的其中一种亚型「Th17细胞」。其所分泌的细胞激素IL-17(IL-17A为其中最主要的一种),可通过发炎反应对抗各种细菌和真菌感染,是肠道免疫屏障的要角。
然而凡事过与不及都有害。Th17细胞和另一群T细胞亚群「调节型T细胞」会相互制衡,一边数量多,另一边数量就少。调节型T细胞的功能是维持自体免疫耐受(不对自家人发动免疫反应),并适时对发炎反应踩煞车。因此当Th17细胞太过活跃,调节型T细胞就会屈居弱势,而使得发炎不止。
这两群细胞的失衡,被认为是引爆溃疡性大肠炎的关键。在上述中国医科大学的研究里,小鼠大肠黏膜组织中的调节性T细胞虽然没有因为灵芝菌丝多醣的介入而增加,但Th17细胞和IL-17A分泌量已显着减少(图3)。这对Th17细胞与调节性T细胞的平衡,应是好的开始。


图3 灵芝多醣调节免疫改善肠炎
事前补充灵芝菌丝多醣GLP的小鼠(详如图2所述),在被诱发溃疡性大肠炎急性发作时:(a)结肠黏膜组织里与发炎相关的TNF-α(肿瘤坏死因子)和IL-1β、IL-6、IL-4、IL-17A等介白素均明显减少;(b)Th17细胞的水平也明显降低,但调节性T细胞的水平则无统计学上的显着差异──与没吃GLP的肠炎小鼠相比。(资料来源/参考文献1)
灵芝多醣调节肠道生态
帮助失调的免疫调回来
暨南大学食品科学与工程学系2019年发表在《Food & Nutrition Research》的研究则发现,灵芝多醣之所以能减轻溃疡性大肠炎,与肠道生态改善密切相关。
该研究使用的灵芝多醣GLP来自灵芝(G. lucidum)孢子粉,具有1,6-linked β-d-Glcp主链和1,4-linked Glcp侧链的结构特徵,它能调节实验大鼠肠道菌群间的比例,像是减少容易致病的菌群,增加有利抗发炎或分泌短链脂肪酸的菌群,并促进更多短链脂肪酸的生成(图4)。
大肠吸收的物质有很大一部分是由肠道菌所产生。当那些无法被小肠消化的多醣(如膳食纤维、灵芝多醣)进到大肠後,会被某一群以它们为生的肠道菌分解,产生乙酸、丙酸、丁酸等各种短链脂肪酸,不仅能滋养肠道细胞,还能保护肠黏膜屏障、调节免疫反应。相对於这类友善的细菌,有些肠道菌则是发炎的促进者,当菌群间彼此比例失衡时,往往就是生病的开始。
已有研究证实,肠道菌群比例失衡、短链脂肪酸分泌不足会造成免疫失调,进而诱发溃疡性大肠炎。灵芝多醣却能逆向操作,透过调节肠道生态来调节免疫,再进一步改善溃疡性大肠炎,是不是很酷呢?


图4 灵芝多醣调节肠道生态改善肠炎
以添加灵芝孢子多醣GLP的饲料喂养大鼠29天(每天393.75 mg/kg),其中後面8天在饮水里添加2.5% DSS诱发溃疡性大肠炎急性发作。发炎的肠道通常会出现变形菌门(Proteobacteria)菌群增加、厚壁菌门(Firmicutes)菌群减少、短肠脂肪酸分泌量降低的现象。相较之下,有GLP保护的大肠(盲肠)则是:(a)这两大菌群会出现明显消长,(b)短肠脂肪酸分泌量也大幅上扬。(资料来源/参考文献2)
灵芝三萜减轻肠炎、抑制肠癌
保护肠道细胞、缓和发炎是关键
本身已有溃疡性大肠炎体质的人,如果饮食上又偏爱高温烹调的加工肉品或红肉,更容易促使肠道发炎和大肠癌的发生。不过平常如能以灵芝三萜保养,或许能化解大半危机。因为根据美国印地安那大学医学院Daniel Sliva教授2012年发表在《PLOS ONE》的动物实验显示:
口服灵芝子实体三萜萃取物GLT,可以在上述两种危险因子并存的情况下,降低肠道发炎受损的程度,减少瘜肉增生和组织病变,抑制癌症发生和肿瘤生长。而且事前保护(每周三次,每次300 mg/kg)又比危险因子出现时再投予灵芝三萜(每周三次,每次500 mg/kg)要来得有效,所需剂量也比较低(表1)。

在饮食致癌物和溃疡性大肠炎的长期夹杀中,灵芝三萜GLT为什麽能为肠道提供保护作用,根据该研究的分析的证据大致可分为三方面:
1. 降低致癌物毒性:调节体内代谢杂环胺PhIP的酵素(细胞色素P450),尽可能阻止PhIP被酵素活化成具有致癌活性的物质。
2. 保护肠道细胞:抑制肠道细胞里参与发炎反应和细胞增生的蛋白分子活化(图5),让它们比较不容易被肠炎刺激物和肠道致癌物活化。
3. 调节免疫反应:减少巨噬细胞浸润在结肠组织的数量(图5),让发炎反应不会因为巨噬细胞的过度参与而持续扩大,进而减轻发炎并减少细胞癌变的机会。
该研究使用的GLT是以特定方式萃取灵芝(G. lucidum)子实体获得的规格化三萜混合物,主要成分为灵芝酸A(3.8 mg/g)、灵芝酸H(1.74 mg/g)和灵芝酸F(0.95 mg/g)。
研究者根据小鼠实验最高有效剂量换算成体重60~80公斤成年人的剂量,每周要吃90~120克(平均每天12.9~17.1克)的GLT才有类似动物实验的效果。
由於食用GLT的实验动物体重仍正常增加,而且未出现任何肝、肾毒性和血脂、血糖代谢异常,因此对於无肉不欢但同时又有溃疡性大肠炎体质的人来说,补充灵芝三萜防治大肠癌似乎是值得考虑的事。


图5 灵芝三萜抑制细胞异常增生&调节免疫
在120天的实验期间,每周喂食小鼠三次100或500 mg/kg灵芝三萜GLT,并同时以PhIP和DSS间歇诱发肠癌和肠炎。结果发现:(a右和b右)高剂量灵芝三萜保护的结肠组织不仅结构比较完整,(a左)细胞增生的速度比较慢,(b左)巨噬细胞浸润的数量也大幅减少。(资料来源/参考文献3)
灵芝蛋白LZ-8减轻肠炎
壮大调节性T细胞是关键
如前所述,促进发炎的Th17细胞太多,抑制发炎的调节性T细胞太少,是引发和加剧溃疡性大肠炎的根本原因。虽然可以靠减少Th17细胞间接拉抬调节性T细胞,但如果能直接状大调节性T细胞的势力,无疑可以更有效率的对症下药。
2013年由阳明大学医学生物技术暨检验学系许先业教授等发表在《Evidence-Based Complementary and Alternative Medicine》的报告证明,把来自灵芝(G. lucidum)的免疫调节蛋白LZ-8与小鼠或人类的CD4+ T细胞一起培养,不仅可使调节性T细胞增至实验前的四倍和十倍,还能促进介白素IL-10的分泌与(图6)T细胞受体CLTA-4的表现量──它们都是抑制发炎反应的要角。
将这些经过灵芝蛋白LZ-8训练的T细胞注射回小鼠体内,一天後再进行溃疡性大肠炎的诱发实验,可使肠炎发作的严重性明显趋缓(图7)。这说明被灵芝蛋白LZ-8刺激增生的调节性T细胞,确实能发挥抑制自体免疫性发炎的作用。
由111个胺基酸组成的LZ-8是个结构清楚的单一化合物;把T细胞取出处理再输入体内的免疫细胞疗法则是被寄予厚望的医疗趋势。以LZ-8进行免疫细胞疗法,似乎能为发炎不止的难治之症带来另一种治疗的可能;而上述研成果也为早期研究发现LZ-8能改善第一型(非肥胖型)糖尿病和器官移殖排斥作用,厘清了部分原因。




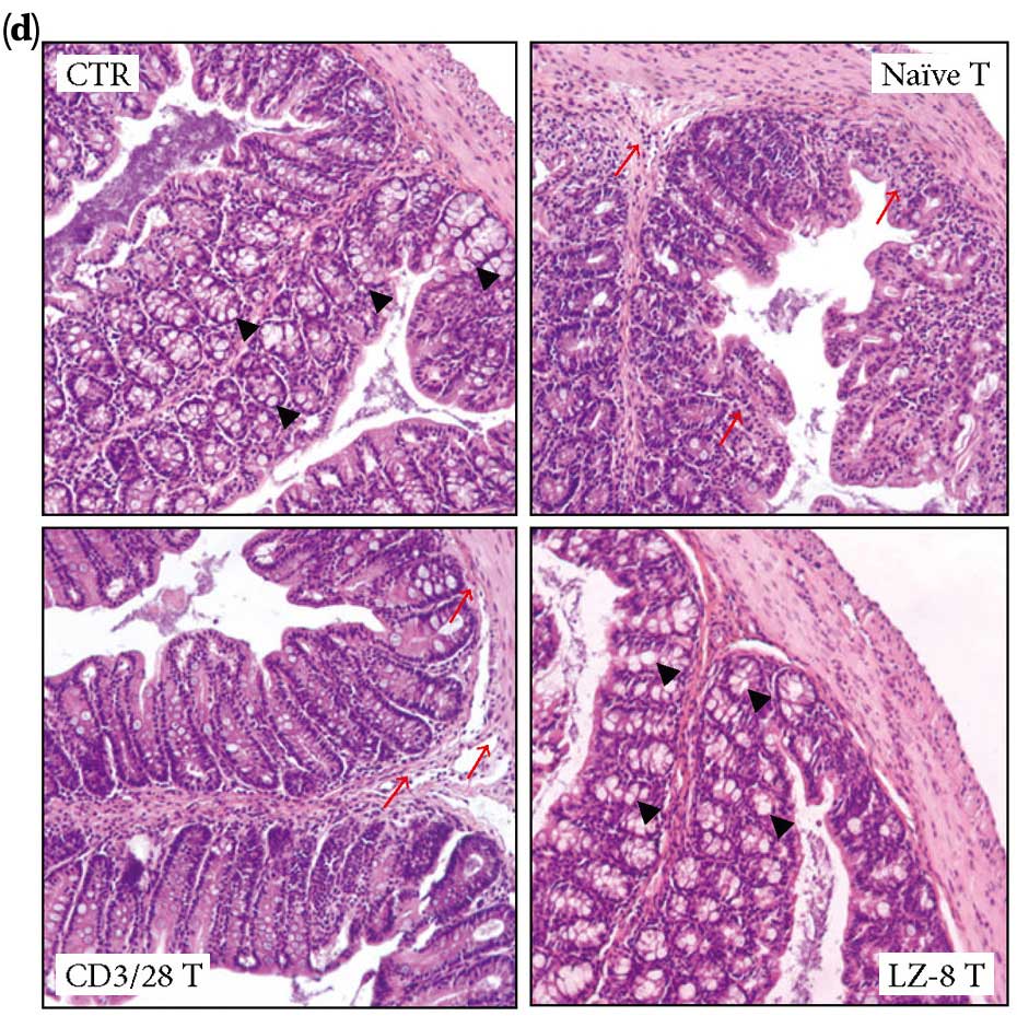
图6 灵芝蛋白调节T细胞,减轻溃疡性大肠炎的严重度
来自小鼠的CD4+ T细胞经1 μg灵芝蛋白LZ-8处理后,除了会刺激大量CD4+ T细胞分化为调节性T细胞,也会如(a)所示,促使IL-10的分泌量大幅提升──IL-10为调节性T细胞分泌的细胞激素之一,具有抑制发炎反应作用。
将处理过的T细胞(1.5×107个细胞)溶於200 μL的PBS溶剂注射小鼠腹腔,24小时後再於小鼠饮水中添加4%的DSS持续7天,诱发溃疡性大肠炎(LZ-8 T组)。结果发现,比起其他组别的肠炎小鼠〔DSS(+)〕,LZ-8 T组会出现下述改善:
(b)体重减轻的幅度最少;(c)结肠长度与正常小鼠所属的CTR组最为接近;(d)位於黏膜组织表层负责分泌黏液的杯状细胞仍很完整,如黑色箭头所示;(e)没有出现像其他组别的白血球浸润现象,如红色箭头所示。(资料来源/参考文献4)
灵芝蛋白GMI保护肠道
减少出血、加速修复
与灵芝蛋白LZ-8有相似的胺基酸组成与结构,但是来自小孢子灵芝(G. microsporum)的免疫调节蛋白GMI则被证明,可以透过口服方式保护肠道细胞,减轻肠道发炎受损的严重性,降低出血比例,加速肠道从受损中修复──而且不论是发炎前就预防,或发炎後才修复,都有显着效果(图7)。
溃疡性大肠炎的主要症状之一,便血,正是肠道溃疡出血所致。发炎造成红、肿、热、痛,而持续性的发炎则会进一步造成细胞凋亡和组织破损(溃疡),因此出血往往是发炎和溃疡严重程度的表徵。GMI对於出血的减轻,说明了它对肠道损伤有良好的修复能力。
该研究观察的肠道部位是回肠,这对发炎病灶扩及回肠的溃疡性大肠炎患者来说,GMI对回肠绒毛和基底层的保护显然是个好消息,也把灵芝蛋白对於溃疡性大肠炎的保护范围再扩大一些;其极低的有效剂量(0.4 mg/kg),与灵芝多醣、三萜动辄上百mg/kg的有效剂量相较,也着实令人惊艳。
巨噬细胞常是启动发炎反应的第一枪,T细胞则是决定免疫反应长期走向和发炎反应持续多久的指挥官。过去已有研究证明GMI可以让活化的巨噬细胞降低TNF-α等发炎相关因子的分泌,并且促使T细胞分泌IL-10和IL-12调节发炎反应和自体免疫反应,这些可能都是GMI保护肠道、改善肠炎、减少出血的原因。


图7 灵芝蛋白GMI对肠道发炎损伤和出血的保护作用
在小鼠饮水中添加2% DSS,14天後移除DSS 观察肠道出血恢复情形,结果如(a)所示,每天吃0.4 mg/kg灵芝蛋白GMI的小鼠,肠道出血恢复速度明显优於对照组,且出血指数在5天後降至正常小鼠的水平。
另一项实验则是观察GMI对回肠组织的预防和修复作用:在诱发肠炎的14天期间,每隔一天在小鼠饮水中添加2% DSS,并从DSS处理前7天(预防组)和处理当天(修复组)开始喂食小鼠GMI,每天0.4 mg/kg。结果如(b)所示,DSS会让小鼠回肠绒毛和基底层毁损,但有GMI预防和修复者的绒毛细胞和基底层则明显受到保护和修复。
灵芝调节免疫,异常发炎也适用
因为安倍请辞消息,把过往的灵芝研究翻出来,才发现许多研究者早有先见之明,也才发现原来灵芝三大活性成分都对溃疡性大肠炎都有所作用。
要把异常发炎压制下来,同时又不影响免疫系统抗感染、抗肿瘤的能力,对西药而言几乎是不可能的事,更何况其所面对的异常发炎是自体免疫(免疫失调)所引起,处理起来必然更加棘手,但就灵芝来说似乎能鱼与熊掌两面兼顾。
其实不只上述研究,灵芝对於另一种也是自体免疫引起的发炎性肠道疾病(Inflammatory Bowel Disease)克隆氏症(Crohn's Disease),以及止痛药引起的小肠发炎,也有缓解的作用(详见参考文献5~7)。这些结果都更加证明灵芝除了增强免疫,还有调控发炎反应的能力──端看它所面对的免疫失调需要如何平衡。
当然不同的灵芝成分各有巧妙。然而不管是哪种成分,不论是你自己吃或介绍给家人朋友,请务必选择「明天和今天一样好」的灵芝产品,因为唯有严格的企业标准把关,从菌种到加工的所有环节都有标准化控管,才有可能愈吃愈健康,才有可能不再被疾病扳倒。

灵芝属的代表种Ganoderma lucidum。(图/许瑞祥)
参考文献
1. Wei B, et al. Suppression of Th17 Cell Response in the Alleviation of Dextran Sulfate Sodium-Induced Colitis by Ganoderma lucidum Polysaccharides. J Immunol Res. 2018 May 20;2018:2906494.
2. Xie J, et al. Ganoderma lucidum polysaccharide improves rat DSS-induced colitis by altering cecal microbiota and gene expression of colonic epithelial cells. Food Nutr Res. 2019 Feb 12;63: 10.29219/fnr.v63.1559.
3. Sliva D, et al. Mushroom Ganoderma lucidum prevents colitis-associated carcinogenesis in mice. PLoS One. 2012;7(10):e47873.
4. Hsu HY, et al. Reishi Protein LZ-8 Induces FOXP3(+) Treg Expansion via a CD45-Dependent Signaling Pathway and Alleviates Acute Intestinal Inflammation in Mice. Evid Based Complement Alternat Med. 2013;2013:513542.
5. Liu C, et al. Anti-inflammatory Effects of Ganoderma lucidum Triterpenoid in Human Crohn's Disease Associated with Downregulation of NF-κB Signaling. Inflamm Bowel Dis. 2015 Aug;21(8):1918-25.
6. Hanaoka R, et al. The water-soluble extract from cultured medium of Ganoderma lucidum (Reishi) mycelia (Designated as MAK) ameliorates murine colitis induced by trinitrobenzene sulphonic acid. Scand J Immunol. 2011 Nov;74(5):454-62.
7. Nagai K, et al. Polysaccharides derived from Ganoderma lucidum fungus mycelia ameliorate indomethacin-induced small intestinal injury via induction of GM-CSF from macrophages. Cell Immunol. 2017 Oct;320:20-28.