2022年9月/北京首都医科大学宣武医院/Nutrients
文/吴亭瑶
众里寻药千百度
平均发病年龄在60岁,自65岁起罹患率从1%起跳的巴金森氏症(Parkinson's disease,亦称帕金森病),是仅次於阿兹海默症第二常见的神经退化性疾病。所谓「神经退化性疾病」就是神经元(亦称神经细胞)随时间损伤或死亡,使其原本负责的功能逐渐退化或丧失,进而直接导致的疾病。
对巴金森氏症来说,问题的根源就出在负责制造「多巴胺」的神经细胞「多巴胺神经元」日渐凋零。由於多巴胺是大脑指挥肌肉活动的神经传导物质,因此当多巴胺大量短缺时,就会引发手脚不自主抖动、肢体僵硬、动作迟缓、姿态不稳(因丧失平衡感而容易跌倒)等典型的运动障碍症状(motor symptoms)。
目前治疗巴金森氏症的最大瓶颈就是只能治标性地减轻症状,无法从根本上干预发病机制,进而延缓病程发展或阻止病情恶化。虽然已有不少根据发病机制设计的新药在实验室取得辉煌成果,无奈终究没能通过临床(人体)的严格考验重现辉煌。
神经系统运作之复杂显然没那麽好被人为操控,却也还不到只能随病逐流束手无策的地步。因为根据首都医科大学宣武医院国家老年疾病临床医学研究中心陈彪教授等2022年9月发表在《Nutrients》(营养学期刊)的研究发现:
经口进入胃肠的灵芝子实体萃取物(每天400 mg/kg)可以透过「抗发炎」的调节机制,抑制小胶质细胞诱导的神经发炎反应(巴金森氏症发病和恶化的病理机制之一),使刚被启动的巴金森氏症有机会放缓下来。

蓦然回首,原来解药就在灯火阑珊处?
由於该团队先前已在临床试验中观察到,每天食用4克的灵芝子实体萃取物,的确可以减缓巴金森氏症患者运动障碍恶化的速度;
也曾透过巴金森氏症的动物模式证明,口服灵芝子实体萃取物(每天400 mg/kg)可使病鼠减少多巴胺神经元的死亡和维持较好的运动能力;
亦曾在体外实验中发现,灵芝子实体萃取物(100~400μg/mL培养30分钟)对於多巴胺神经元的保护作用,有部分是来自它能抑制小胶质细胞过度活化产生的发炎反应(减少NO、TNF-α和IL-1β等促发炎因子的释放);
如今最新发表的这个研究则是证明,灵芝子实体萃取物抑制小胶质细胞过度活化的作用,也能在巴金森氏症的动物体内实现,而且这灵芝还是用「吃的」就能发挥效果。
把这整个故事串在一起似乎可得到:巴金森氏症患者口服灵芝子实体萃取物→抑制小胶质细胞过度活化→缓和发炎反应→减少巴胺神经元死亡→延缓患者运动障碍恶化的速度。由此看来,这不就已经突破巴金森氏症的治疗瓶颈,做到「从根本上干预发病机制,进而延缓病程发展、阻止病情恶化」吗?


宣武医院团队以灵芝治疗巴金森氏症患者的临床试验并未公开发表,但曾在其2019年发表的研究报告中明确叙述。(图片截取自报告原文)
小胶质细胞与巴金森氏症的关系
本研究以「抑制小胶质细胞活化,调节其所主导的发炎反应」作为灵芝子实体萃取物能够干预巴金森氏症病理机制的指标。
占大脑细胞数量10~15%、与神经细胞比邻而居的小胶质细胞(microglia,也称微胶细胞)是长驻大脑的免疫细胞,它的功能就像巨噬细胞,可以清除病原体、异常蛋白和死掉的神经细胞。问题是当小胶质细胞因为外来刺激一直处在活化状态时,就会不断分泌促进发炎反应的相关因子,进而伤害周围的神经细胞,包括多巴胺神经元。
目前科学界已经确认,小胶质细胞异常活化引起的发炎反应,是加速多巴胺神经元死亡和巴金森氏症病情恶化的幕後大黑手,因此针对性抑制小胶质细胞活化就成了缓和巴金森氏症病程的重要指标。

小鼠大脑组织染色切片:小胶质细胞(绿色)与神经细胞(红色)。(图片来源/Wikimedia Commons)

「黑质」是大脑生成多巴胺的主要场所,这些生成多巴胺的神经元绝大部分又都聚集在「黑质致密部」,仅少部分分布在「黑质网状部」。黑质中的多巴胺神经元会一路延伸到另一个称为「纹状体」的脑区,形成所谓的「黑质纹状体路径」(如图中紫色线所示),使黑质生成的多巴胺可以送到纹状体发挥调节肌肉和复杂运动等作用。也就是说,纹状体本身并不生产多巴胺,多巴胺的作用也无法在黑质中发挥,因此这条通道其中只要一个环节出问题都会引发巴金森氏症。(图片来源/Neuroscientifically Challenged)
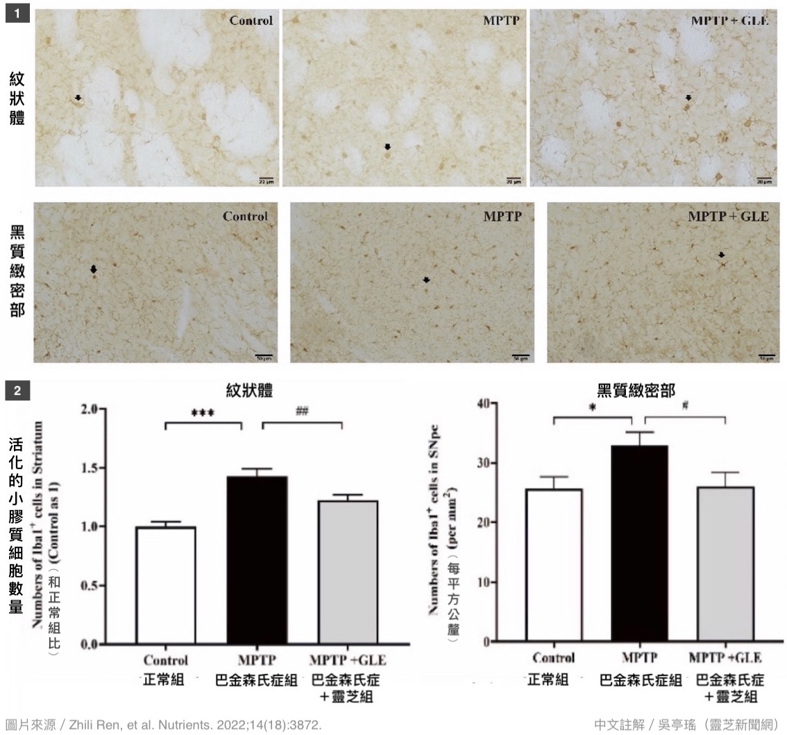
每天吃灵芝子实体萃取物的巴金森氏症小鼠
可抑制黑质和纹状体里的小胶质细胞活化
根据宣武医院陈彪教授等最新发表的这项研究显示,小鼠在被注射神经毒素MPTP诱发类似人类的巴金森氏症之後的隔天开始,每天以灌胃方式口服400 mg/kg的灵芝子实体萃取物GLE持续四周(巴金森氏症+灵芝组),同时以未做任何治疗的巴金森氏症小鼠(仅注射MPTP)和正常小鼠作为实验对照。
MPTP本身其实并无毒性,仅仅是一种能通过血脑屏障的普通脂溶性有机化合物,可是当它进入大脑,却会立马激活小胶质细胞,并被活化的小胶质细胞代谢成「只会杀死多巴胺神经元」的神经毒物,使小鼠出现类似人类的巴金森氏症。
因此实验中被诱发巴金森氏症的小鼠大脑「黑质致密部」和「纹状体」这两个多巴胺神经元所在的区域,会被检测出大量被活化的小胶质细胞,但这种情况却不会发生在每天吃灵芝子实体萃取物GLE的巴金森氏症小鼠身上——其黑质致密部和纹状体中小胶质细胞的活化状况,反而和正常小鼠比较接近甚或差不多。

灵芝可以抑制巴金森氏症小鼠大脑中多巴胺神经元所在区域(纹状体与黑质致密部)的小胶质细胞活化:(1)为活化的小胶质细胞在组织切片中的染色影像,(2)则是各组小鼠的纹状体或黑质致密部中呈活化反应的小胶质细胞的定量统计。
每天吃灵芝子实体萃取物的巴金森氏症小鼠
黑质与纹状体里的促发炎因子较少
活化的小胶质细胞会分泌各式各样的细胞激素或趋化因子促进发炎反应,加重多巴胺神经元的损伤,但检测上述实验动物的中脑(黑质所在脑区)和纹状体却发现,原本因为病发巴金森氏症而显着增加的细胞激素或趋化因子,大多能在每天食用灵芝子实体萃取物的调节下减少增幅。
其中有些指标减少的幅度甚至达到统计学意义,包括黑质所在中脑的GM-CSF(颗粒球巨噬细胞聚落刺激因子),以及纹状体中的IL-1α(介白素1α)、IL-1β(介白素1β)、TNF-α(肿瘤坏死因子)和MIP-1α(巨噬细胞发炎蛋白1α)。


灵芝子实体萃取物调节
小胶质细胞的可能机制
该研究团队还尝试藉助体外细胞实验,分析灵芝子实体萃取物GLE抑制小胶质细胞的可能机制。
结果显示,灵芝子实体萃取物GLE可以透过抑制细胞增殖能力(数量愈多发炎愈激烈)、抑制一氧化氮合成酶iNOS生成(才能进一步合成具有杀伤力的一氧化氮NO)、抑制发炎体NLRP3活化(才能进一步合成助长发炎反应的IL-1β)……等多条路径,直接对小胶质细胞的活化进行压制,与前述的体内动物实验遥相呼应。
不过,除非吃到肚子里的灵芝子实体萃取物,能直接接触到大脑里的小胶质细胞,否则灵芝子实体萃取物调节小胶质细胞的「体内」作用机制,应该还存在其他可能性,而且可能像谜一样,永远无法被解释清楚。

可能延缓巴金森氏症恶化的「灵芝」
贯穿这一系列研究的灵芝子实体萃取物GLE(Ganoderma lucidum extract)是以灵芝子实体为材料,先後经过多道乙醇和热水萃取流程而得(详如下图),含有9.8%左右的灵芝多醣,以及0.3~0.4%的灵芝酸A(ganoderic acid A,灵芝子实体中最主要的三萜化合物之一)和0.3~0.4%的麦角固醇(ergosterol)。

虽然灵芝子实体萃取物GLE可以用「吃」的方式,调节大脑的发炎反应,让已被启动巴金森氏症的病理过程发展得比较缓慢,进而对病友的活动能力和生活品质提供一定的保护,然而研究团队认为,不能因此就把「调节发炎」和「保护神经」的作用全都归功於GLE里的灵芝多醣。
一方面是因为GLE里还有其他活性成分和许许多多无法被单独检测出来的微量成分;另一方面,过去已经发表的相关研究中,被证明有「调节发炎」和「保护神经」作用的成分还有各种不同来源的灵芝多醣、灵芝三萜、灵芝酸A、灵芝水萃取物等等。
因此,关於为什麽吃灵芝对巴金森氏症有效,发表这篇报告的研究团队更倾向是「多种灵芝成分在体内相互协调」的结果。
巴金森氏症之复杂,绝非「缺什麽补什麽」就能解决这麽简单;灵芝之有效,也绝少只靠一个成分就能扭转乾坤。
所以巴金森氏症的希望,其实不是远在天边,而是近在眼前?也许只要把灵芝子实体里成分好好的、完整的提取出来,而不是以精华之名掐头去尾,就能做到。
参考文献
1. Zhili Ren, et al. Ganoderma lucidum Modulates Inflammatory Responses following 1-Methyl-4-Phenyl-1,2,3,6-Tetrahydropyridine (MPTP) Administration in Mice. Nutrients. 2022;14(18):3872. doi: 10.3390/nu14183872.
2. Zhi-Li Ren, et al. Ganoderma lucidum Extract Ameliorates MPTP-Induced Parkinsonism and Protects Dopaminergic Neurons from Oxidative Stress via Regulating Mitochondrial Function, Autophagy, and Apoptosis. Acta Pharmacol Sin. 2019;40(4):441-450. doi: 10.1038/s41401-018-0077-8.
3. Ruiping Zhang, et al. Ganoderma lucidum Protects Dopaminergic Neuron Degeneration through Inhibition of Microglial Activation. Evid Based Complement Alternat Med. 2011;2011:156810. doi: 10.1093/ecam/nep075.
4. 丁晖等。灵芝提取物通过抑制小胶质细胞激活保护多巴胺能神经元。生理学报, 2010, 62(6): 547-554.